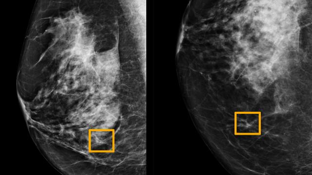
Cáncer de mama