Se trata de drogas ilegales, legales y algunas de prescripción médica.

Se trata de drogas ilegales, legales y algunas de prescripción médica. Gtres

Salud Drogadicción

Éstas son las cinco peores adicciones del mundo, y así afecta cada una al cerebro

El daño neurológico que provocan estas sustancias, ya sean ilegales, por prescripción médica o completamente legales, es devastador pero específico.

Publicada

Noticias relacionadas

En el año 2007, un estudio publicado en la revista The Lancet estableció el top 5 de las drogas más adictivas del mundo: heroína, cocaína, barbitúricos, tabaco (nicotina) y alcohol. Éstas son las sustancias que tienen el dudoso honor de copar una lista que no fue fácil de elaborar.

Los investigadores tuvieron en cuenta una serie de factores para esta misión: el potencial daño que causa una sustancia, el precio de dicha sustancia en la calle, los efectos sobre el sistema dopaminérgico cerebral (o sistema de recompensa), las sensaciones psicológicas o emocionales que proporcione y el potencial para causar síndrome de abstinencia y para enganchar rápidamente.

De todas formas, hay expertos que sugieren que una misma droga no siempre es igual de adictiva en todos los individuos. Aún así, David Nutt y sus colegas elaboraron el estudio poniendo especial atención en el daño cerebral que pueden provocar estas sustancias.

1. Heroína

Dentro de la clasificación de Nutt y sus colegas, la heroína fue clasificada como la droga más adictiva: recibió una puntuación de 3 sobre 3. Se trata de un opiáceo capaz de producir un aumento del 200% de dopamina en el cerebro, según se ha observado en experimentos con animales.

La heroína es una droga que puede causar fácilmente la muerte, ocurre cuando un consumidor supera cinco veces lo que se considera una "dosis alta". Esta sustancia también es la segunda droga más dañina en términos físicos y psicológicos, tanto para los individuos como para las sociedad en general.

Destrucción de la materia blanca en un consumidor crónico de heroína, lo que provoca deterioro cognitivo. Ajnr.org

Destrucción de la materia blanca en un consumidor crónico de heroína, lo que provoca deterioro cognitivo. Ajnr.org

2. Cocaína

La cocaína sería la segunda droga más adictiva del mundo. Es capaz de interferir en los niveles de dopamina en el cerebro y puede alterar la transmisión de mensajes entre neuronas. Esencialmente, la cocaína evita que se desactive la señal que detiene la segregación de dopamina. De esta manera, activa de forma ilimitada la recompensa cerebral mientras duren los efectos.

Entre 14 y 20 millones de personas en el mundo consumen cocaína. Esta droga tan popular ha demostrado en experimentos con animales que puede aumentar hasta tres veces los niveles de dopamina.

La cocaína "crack" sería la tercera droga más dañina, por detrás de la heroína, y la cocaína en polvo ocuparía el quinto lugar. Se estima que alrededor del 21 por ciento de los individuos que prueban esta droga se vuelven adictos a su consumo, es decir, uno de cada cinco potenciales consumidores.

Hemiplejia (parálisis de un lado del cuerpo) por consumo de cocaína. Ajnr.org.

Hemiplejia (parálisis de un lado del cuerpo) por consumo de cocaína. Ajnr.org.

3. Nicotina

La nicotina, la principal sustancia adictiva del tabaco, ocuparía el tercer lugar de este podium junto a la heroína y la cocaína. Esta sustancia se absorbe en los pulmones casi inmediatamente después de ser inhalada y se dirige directamente al cerebro.

En el año 2002, la Organización Mundial de la Salud estimó que había más de 1.000 millones de fumadores y que hasta 8 millones de personas morirán a causa del tabaco durante el año 2030.

Aunque los animales de laboratorio evitan el humo del tabaco, se les inyecta la nicotina directamente en el torrente sanguíneo. Se ha observado que experimentan un aumento de entre un 25 y un 40 por ciento de los niveles de dopamina cerebral respecto a los valores normales.

Diferencias en densidad de materia gris (coloreada) en consumidores de nicotina. Researchgate.net

Diferencias en densidad de materia gris (coloreada) en consumidores de nicotina. Researchgate.net

4. Barbitúricos

Los autores sitúan a los barbitúricos en el cuarto lugar. Se trata de unos fármacos usados antiguamente contra la ansiedad y con el objetivo de inducir sueño, aunque hoy en día han sido desplazados por el uso de las benzodiazepinas.

Actúan "cerrando" varias regiones cerebrales. Cuando se toman dosis bajas causan euforia, pero, en dosis altas pueden ser letales porque son capaces de suprimir el estímulo cerebral encargado de la respiración.

Hace unos años, la dependencia a los barbitúricos era más común, porque se podían conseguir de forma sencilla con receta médica. Pero al ser desplazados por otros fármacos "más seguros", esta dependencia ha ido disminuyendo progresivamente. De hecho, los expertos que colaboraron el estudios destacaron este factor en el potencial adictivo de una droga: si no está fácilmente disponible los datos de daños y adicciones disminuyen.

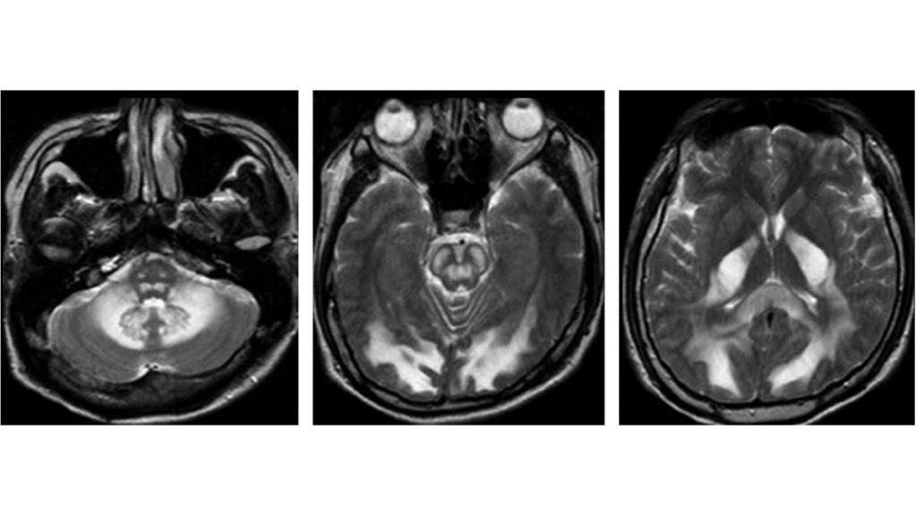
Déficit hemisensorial, posible causa de parálisis cerebral, provocado por el uso de fármacos. Ajnr.org

Déficit hemisensorial, posible causa de parálisis cerebral, provocado por el uso de fármacos. Ajnr.org

5. Alcohol

Por último, el alcohol obtuvo una nota de 1.9 sobre 3, situándose en el quinto puesto de la lista de Nutt y sus colegas. Aunque es una droga legal y ampliamente disponible en la actualidad, se sabe que el alcohol tiene multitud de efectos dañinos sobre el cerebro humano y animal.

Los estudios con animales destacaron que el alcohol es capaz de aumentar los niveles de dopamina entre un 40 y un 360 por ciento. Y cuanto más se bebe, más aumentan los niveles de esta hormona. Al igual que en el caso de la cocaína, alrededor del 22 por ciento de los consumidores de alcohol acabarán desarrollando una dependencia a él en algún momento de su vida.

Estos datos llaman especialmente la atención porque la OMS estimó en el año 2002 que más 2.000 millones de individuos consumieron alcohol durante ese año. Solo en el año 2012 murieron tres millones de personas por culpa del alcohol.

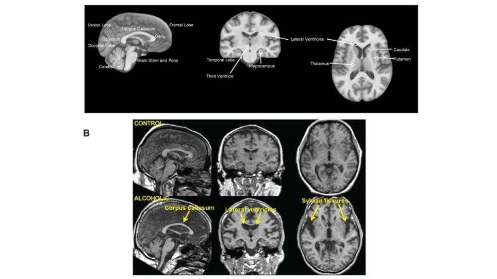
Daños en las regiones del cerebro provocados por el alcoholismo. Niaaa.nih.gov

Daños en las regiones del cerebro provocados por el alcoholismo. Niaaa.nih.gov

El alcohol ha sido clasificado por su parte como la droga más dañina del mundo, por encima de la heroína y la cocaína.

[Más información: Ésta es la peor droga para practicar 'chemsex': 15 veces más riesgo de hospitalización