El doctor Juan Manuel Sepúlveda moderó la mesa médico-investigadora.

El doctor Juan Manuel Sepúlveda moderó la mesa médico-investigadora. ASTUCE Spain

Salud

Expertos médicos alertan sobre la inequidad en el acceso a TTFields en el tratamiento del glioblastoma en España

La terapia con campos eléctricos está disponible en más de 15 hospitales públicos en España, pero no en Euskadi, Andalucía o Comunidad Valenciana.

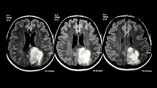
Más información: Los síntomas tempranos del glioblastoma: así empieza el tumor cerebral más letal en adultos

Servimedia
Publicada

En el marco del 'workshop' organizado por ASTUCE Spain bajo el título 'Más allá del diagnóstico: lo que no sabemos (ni hablamos) del cáncer cerebral', médicos de referencia en neurooncología advirtieron sobre la desigualdad que existe en España en el acceso a terapias innovadoras como los campos eléctricos TTFields, una tecnología con eficacia demostrada en el tratamiento del glioblastoma.

La jornada, celebrada en Madrid, reunió a expertos de hospitales como el Ramón y Cajal, el Reina Sofía de Córdoba y el 12 de Octubre, quienes coincidieron en señalar que el acceso a TTFields es hoy una cuestión de equidad y justicia sanitaria.

“Estamos hablando del único avance en 20 años que mejora la supervivencia en glioblastoma, y no está disponible en todo el país”, denunció la doctora María Ángeles Vaz, presidenta del Grupo Español de Investigación en Neurooncología (GEINO).

“Las terapias dirigidas existen, conocemos mejor los tumores, pero si no hay acceso a estudios moleculares en todos los centros, no podemos tratarlos correctamente”, señaló. “Necesitamos apoyo institucional para coordinar mejor, compartir datos y generar circuitos entre hospitales”.

Los expertos recordaron que los tumores cerebrales exigen un abordaje multidisciplinar y equipos altamente especializados. Sin embargo, muchos centros carecen de los recursos necesarios para ofrecer un diagnóstico preciso y acceso a ensayos clínicos.

El doctor Juan Manuel Sepúlveda, especialista en Oncología Médica y Neurología en el Hospital Universitario 12 de Octubre y HM Sanchinarro, recordó la complejidad del panorama.

“Hay más de 350 tipos de tumores cerebrales si contamos adultos y niños. Tenemos que organizarnos mejor, tanto en asistencia como en investigación”, dijo, y añadió que “en España se ha confiado demasiado en que la sanidad pública lo resuelva todo. Es necesario un cambio cultural, la sociedad civil también debe implicarse e invertir en investigación médica”.

Sepúlveda destacó el caso del Reino Unido como ejemplo a seguir y declaró que "el mayor ensayo clínico actual en glioblastoma no lo está financiando el sistema público, sino una asociación de pacientes en Reino Unido. Ese es el paradigma al que debemos aspirar también en España”.

Por su parte, el doctor Raúl Luque, investigador del IMIBIC/UCO, insistió en que "no todos los hospitales pueden investigar ni tienen capacidad para implementar tratamientos innovadores”.

El doctor Juan Solivera Vela, jefe de Neurocirugía del Hospital Reina Sofía, subrayó la necesidad de un esfuerzo conjunto e indicó que, "o remamos todos en la misma dirección, o el sistema seguirá dejando atrás a pacientes”.

El evento, impulsado por ASTUCE Spain con motivo del Día Mundial de los Tumores Cerebrales, evidenció la complejidad del abordaje de estos tumores y la urgencia de fortalecer tanto la asistencia como la investigación.

Los profesionales coincidieron en la necesidad de mejorar la coordinación entre centros, ampliar el acceso a estudios moleculares y ensayos clínicos, y garantizar una atención verdaderamente multidisciplinar.

La jornada dejó claro que los avances llegarán solo si existe voluntad institucional sostenida y un compromiso real por parte de todos los actores implicados.