Image: Europa debate

Image: Europa debate

Ciencia

Europa debate

La Noche de los Investigadores deja hoy en vela a los laboratorios españoles

José Antonio López Guerrero
Publicada
Actualizada

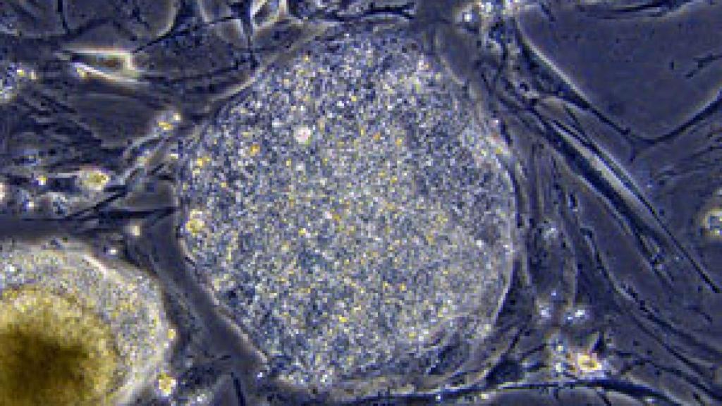
Imagen microscópica de células madre embrionarias. Foto: University of Wisconsin-Madison.

El anuncio del Gobierno de seguir recortando presupuestos para 2011 flotará hoy en la Noche de los Investigadores. Esta iniciativa europea, que celebra su quinta edición, intenta acercar a los ciudadanos la actualidad científica. José Antonio López Guerrero analiza algunos puntos calientes y su repercusión en la sociedad.

Los grandes temas de la ciencia, hoy a debate. La Noche de los Investigadores pondrá sobre la mesa iniciativas tan importantes como las normativas y los proyectos de Ley que han surgido paralelos al avance de la ciencia y de su desarrollo socio-sanitario. Además de la inminente entrada en vigor de la nueva directiva europea sobre protección de animales de experimentación, desde Bruselas, y a principios de verano, nos llegaba la actual normativa sobre autorización de nuevos cultivos modificados genéticamente que, a través de su cláusula 23, pretende salvar el escollo de la prohibición táctica en suelo europeo.

Pero mientras que en Europa seguimos mirando de reojo a las saludables mazorcas de maíz resistentes a parásitos, la Administración de Alimentos y Medicamentos (FDA) dará luz verde para que a las mesas norteamericanas llegue el nuevo salmón transgénico con nombre propio -AquAdvantage-. Con las mismas características organolépticas que su pariente, el salmón del Atlántico, ofrece un rendimiento económico superior -crecimiento acelerado-.

Por otra parte, y siguiendo con la actualidad nutricional, nuestro Ministerio de Sanidad acaba de aprobar el proyecto de Ley de Seguridad Alimentaria que pretende controlar el contenido calórico de la bollería y bebidas de nuestros patios de colegio, así como crear la Red Española de Laboratorios de Control Oficial de Seguridad Alimentaria.

Química...
Según el director del Instituto de Química Orgánica del CSIC, Bernardo Herradón, si algo caracteriza a la Química y, de paso, a sus intérpretes, es la creatividad, algo que queda definido en un aforismo: "La Química crea su propio objeto". Estas "creaciones" tienen como objetivo profundizar en el conocimiento de unas aplicaciones que mejoran nuestra calidad de vida, con usos que van de lo más cotidiano -limpieza, higiene, vestidos, cosméticos, papelerías y tintes, entre otros- a lo más sofisticado, como ordenadores o superconductores eléctricos, pasando por salud, energía, medio ambiente, alimentación, veterinaria, potabilización de agua, o construcción.

...y Física
Así, y no lejos de la filosofía anterior, la Física, en especial la teórica, sigue tratando sin tregua de explicar desde lo más pequeño (por qué las partículas elementales tienen masa, por ejemplo) hasta los últimos confines del cosmos: ¿cuánta materia o energía, y de qué tipo, existe en el universo? ¿De dónde salió la que lo llena? Por supuesto, todo ello sin detenernos en las consideraciones recientemente puestas encima de la mesa por el mediático Stephen Hawking sobre la intervención divina, o no, en todos estos procesos. En un ámbito más cercano, aunque en un pasado muy lejano -125 millones de años, concretamente-, se hablará en esta Noche de los Investigadores del hallazgo que un grupo de paleontólogos españoles, coordinado por el catedrático de la UAM, José Luis Sanz, acaba de publicar en Nature. Sus trabajos están realizados en torno al curioso dinosaurio carnívoro chepudo Concavenator corcovatus encontrado casualmente en el yacimiento de Las Hoyas, cerca de Cuenca. Además de la extraña joroba, presenta unas estructuras óseas en los antebrazos que sugieren la presencia de plumas primitivas.

Del Alzheimer...
Si existe un área de investigación con fuerte repercusión social es la Biomedicina. Dos noticias acaban de irrumpir en el panorama científico mundial. Por una parte, investigadores de la Universidad Rockefeller de Nueva York, coordinados por el premio Nobel Paul Greengard, han publicado en Nature la posible utilización del antitumoral llamado Imatinib -Glivec, por su nombre comercial- como inhibidor de la enzima que produce los péptidos beta-amiloides -una de las marcas principales del Alzheimer- pero sin afectar a otras proteínas importantes para la célula. La enzima gamma-secretasa interacciona con su proteína activadora (GSAP) para producir las placas típicas de la enfermedad y que sería inhibida por el fármaco antitumoral. Ahora, para completar el avance terapéutico, los científicos están estudiando la forma de hacer que el fármaco atraviese la barrera hematoencefálica y llegue al cerebro.

...a las células embrionarias
Finalmente, una última hora sobre investigación con células embrionarias. A la eterna polémica suscitada por la investigación con embriones humanos desde que en 1998 James Thompson (Universidad de Wisconsin) aislara células pluripotenciales derivadas de ellos, habría que añadir el primer ensayo mundial que se va a realizar en siete hospitales de EEUU -país que prohibe de momento cualquier estudio con dinero público con este material-. Si bien los ensayos con células derivadas de embriones siguen siendo escasos, se trata de uno de los frentes, junto al de las células madre adultas o inducidas pluripotenciales, más prometedores en medicina regenerativa. El estudio será financiado con dinero privado, ha recibido la autorización sanitaria de la FDA y consiste, en principio, en un ensayo de fase I, con pocos pacientes, para verificar la seguridad y eficacia inicial en regeneración de médula espinal. Para ello, las lesiones tendrán que ser recientes, en caso contrario, dicha regeneración y remielinización de las fibras nerviosas estaría impedida tras la formación de la cicatriz. Según Anna Krassowska, portavoz de Geron Corporation -la compañía responsable- el tratamiento consistirá en una inyección en el lugar de la lesión con células precursoras de oligodendrocitos, productoras de la mielina que protege los axones. No obstante, mientras esta nueva esperanza se materializa -con el visto bueno del gobierno de Obama, dispuesto desde el principio de su mandato a apoyar estos proyectos-, un juez federal sigue amparándose en la ley para prohibir la investigación con células embrionarias, al menos, con dinero del ciudadano estadounidense. Recordando las palabras del Premio Príncipe de Asturias Hans Magnus Enzensberger, señalar que, en ciencia, "todo lo que se pueda hacer, se hará". Y será analizado hoy en la Noche de los Investigadores.

200 CIUDADES EUROPEAS

La Noche de los Investigadores se celebra dentro del programa PEOPLE del Séptimo Programa Marco de la UE. Más de 200 ciudades de treinta países están incluidas en esta iniciativa que surge en 2005. En España participa la Fundación Madri+d para el Conocimiento, de la Comunidad de Madrid, y un un consorcio liderado por la Universidad de Gerona en el que se incluyen ciudades como Oviedo, Murcia, Burgos, Santiago de Compostela y Las Palmas de Gran Canaria.