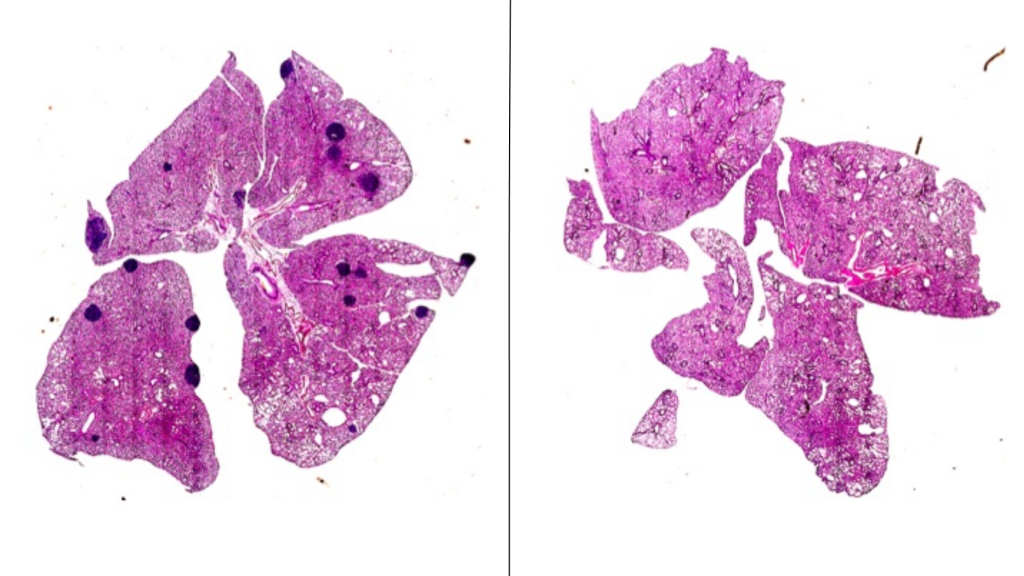
Pulmones de ratón, con tumores a causa de la metástasis (puntos negros) en el que no fue tratado en comparación con el que recibió aspirina.

Pulmones de ratón, con tumores a causa de la metástasis (puntos negros) en el que no fue tratado en comparación con el que recibió aspirina.

Salud

La aspirina, nueva aliada contra el cáncer: logran frenar la metástasis en un novedoso experimento con ratones

Este medicamento común puede evitar que los linfocitos T se vean inhibidos, mejorando su capacidad para destruir las células cancerosas.

Más información: Las 'madres' españolas de la vacuna contra el cáncer: "En cuanto pinchamos, los pacientes se van a casa"

P. Fava
Publicada

El ácido acetilsalicílico, comúnmente conocido como aspirina, ha demostrado capacidad para inhibir la metástasis del cáncer en un experimento de laboratorio. Los investigadores trabajaron con modelos de ratones con cáncer de mama, de colon y melanoma, en los que la administración de aspirina previno la extensión de las células cancerosas a órganos como los pulmones y el hígado.

Según explican los autores en la revista Nature, su hallazgo abre el camino al uso de inmunoterapias antimetastásicas más eficaces mediante la administración selectiva de aspirina para prevenir la extensión de determinados tipos de cáncer. No obstante, recuerdan que esta medicación causa efectos adversos a algunos pacientes como hemorragias o úlceras estomacales, por lo que emplazan a futuros ensayos clínicos.

"Sabemos que las personas que toman diariamente aspirina tienen menos riesgo de cáncer. Aún después de diagnosticarlo, se asocia a un menor riesgo de metástasis", explica a Science Media Centre el catedrático Ángel Lanas, jefe del Servicio de Digestivo del Hospital Clínico Universitario Lozano Blesa de Zaragoza y director científico del Instituto de Investigación Sanitaria de Aragón (IIS Aragón). La hipótesis era que este efecto dependía de las plaquetas y guardaba relación con la inmunidad.

Jie Yang, del equipo de investigadores de la Universidad de Cambridge que ha liderado el estudio internacional, lo define como un "momento eureka". Indagaban sobre el proceso de metástasis, ya que el 90% de la mortalidad atribuible al cáncer se da cuando empieza a extenderse de un órgano al resto. Esas células cancerosas son sin embargo más vulnerables al sistema inmunológico mientras migran, ya que las que permanecen cerca del tumor aprovechan el ambiente inmunosupresor que genera.

Los científicos ya habían inventariado previamente 810 genes de ratón, de los que 15 se relacionaban con un efecto directo en la metástasis. Los roedores que carecían de un gen codificador de la proteína ARHGEF1 mostraban una menor extensión del cáncer a los pulmones e hígado. La ausencia de este elemento evitaba la supresión de los linfocitos T, células del sistema inmunológico que pueden reconocer y destruir las células cancerosas. 

A continuación, analizaron las señales celulares para determinar que la activación de la ARHGEF1 se produce cuando los linfocitos se exponen a un factor trombótico llamado tromboxano A2 (TXA2). Este compuesto, producido por las plaquetas que ayudan a la coagulación de la sangre para evitar que las heridas causen hemorragias, está relacionado con la aspirina. Este medicamento reduce la producción de TXA2, por lo que beneficia a pacientes cardiovasculares con tendencia a sufrir coágulos.

En ratones con melanoma a los que se les administró aspirina, la supresión de TXA2 aumentó la disponibilidad de linfocitos T, lo que redujo la frecuencia de la metástasis. "Ha sido un hallazgo completamente inesperado. Y abre una línea completamente nueva de investigación", celebra Yang. "Tanto la aspirina como los demás fármacos  inhibidores de la síntesis de prostaglandinas serán terapias más económicas que las basadas en anticuerpos monoclonales, y por tanto, más accesibles". 

"La investigación deductiva es brillante", valora el catedrático Ignacio Melero, investigador del CIMA y codirector del departamento de Inmunología e Inmunoterapia de la Clínica Universidad de Navarra."Habían descubierto un factor que interviene en facilitar metástasis en ratones. En el rastreo apareció una proteína cuyos niveles aumentan con el tromboxano A2. A partir de ahí, encuentran que el tromboxano favorece las metástasis por un mecanismo inmunosupresor y por esta ruta observan que la aspirina disminuye la eficiencia de las metástasis".

"Los datos sugieren que debemos explorar si el consumo de aspirina a dosis bajas antiagregantes disminuye la probabilidad de metástasis en pacientes con cáncer, o si los pacientes que reciben aspirina son diagnosticados menos frecuentemente en estadio metastásico", prosigue Melero. "Trabajos previos, a los que ahora se añade este, dan razones para la realización de ensayos clínicos en que la síntesis de prostaglandinas sea bloqueada en el contexto de los tratamientos de inmunoterapia que aplicamos de rutina en los pacientes".