Con la colaboración de:

Salud

El equilibrio entre extirpar un tumor y preservar las funciones del cerebro

En la cirugía, tratamiento habitual para este tipo de tumores, el objetivo es proteger las funciones básicas como la capacidad de hablar para poder proporcionar al paciente la mejor calidad de vida posible. 

Publicada

Puede manifestarse con cefaleas, crisis convulsivas o la aparición de problemas motores, cognitivos y del lenguaje. Los tumores cerebrales presentan diferentes síntomas dependiendo de su localización y la función que controla esa parte del cerebro.

Es un cáncer poco frecuente. En 2024 se diagnosticaron 4.419 casos de tumores cerebrales primarios (aquellos que se originan en las propias células del cerebro) y, aunque se estima que suponen solo un 3% de todos los cánceres en adultos, “es el tipo de tumor más frecuente y mortífero en la población entre los 0 y 19 años”, afirma la doctora Carme Balañá, especialista en Oncología Médica del Centro Médico Teknon.

Son más frecuentes, sin embargo, “los tumores secundarios o metástasis de otros cánceres, dado que proceden de tumores con mayor incidencia como el cáncer de pulmón o de mama”, continúa la oncóloga. De esta manera, se estima que “las metástasis cerebrales afectan al 20% de los pacientes con otros cánceres. Podríamos extrapolar que, si en España se diagnosticaron 286.664 cánceres el año 2024, una quinta parte de ellos sufrirán metástasis cerebrales a lo largo de su enfermedad”. Unos 57.000 pacientes.

El cáncer cerebral es una enfermedad con una grave afectación a la calidad de vida. Según una publicación de la Sociedad Española de Neurología (SEN), el 80% de los pacientes presentarán una disfunción cognitiva, el 78% disfunción motora y el 37% disfunción en el control de esfínteres.

Con las complicaciones neurológicas y sistémicas que ocasionan los tumores cerebrales, el tratamiento busca controlar estos síntomas para que las personas puedan tener la mejor calidad de vida posible. “La mayor parte de las veces el primer tratamiento es la extirpación quirúrgica”, explica el doctor Gerardo Conesa, jefe de Neurocirugía y director del Instituto de Neurociencias Teknon. El neurocirujano aborda en el podcast ‘Letra de médico’ cómo se toma la decisión sobre el tratamiento, teniendo en cuenta que una intervención de estas características en el cerebro presenta algunos riesgos para el paciente, como la pérdida de algunas funciones.

Extirpar un tumor donde habita el lenguaje

El tratamiento, explica el doctor Conesa, “debe ajustarse a un equilibrio entre el deseo oncológico de reducir el mayor número de células tumorales posible y el de preservar al máximo la funcionalidad y calidad de vida del individuo”. En el podcast, el neurocirujano resalta la importancia de la exploración neurológica para determinar el impacto del tumor sobre funciones básicas, como el lenguaje. En el caso tratado en el episodio, el paciente presentaba un tumor en el lóbulo frontal izquierdo, donde normalmente se encuentran las conexiones asociadas al lenguaje en las personas diestras.

Para planificar la cirugía se realizan avanzadas pruebas de imagen y diversas exploraciones neurológicas y neuropsicológicas. “En el caso de ámbito cognitivo se dispone de un amplio abanico de pruebas que abarcan la atención, la orientación, las funciones verbales, la lectura, la gestualidad, el reconocimiento, la memoria y las capacidades ejecutivas”, explica el doctor Jordi Peña Casanova, especialista en Neurología del Centro Médico Teknon. Además, también se evalúa “el estado neuropsiquiátrico (ansiedad, depresión, apatía, delirios…) y las capacidades de la vida diaria”, añade el neurólogo.

La cirugía con paciente despierto

En algunos casos, cuando se necesita preservar una función crítica como el lenguaje, que no se puede monitorizar con el paciente dormido, se recurre a la craneotomía consciente o cirugía con paciente despierto. Es el caso más frecuente, pero también “se puede utilizar para evitar dañar funciones visuo-espaciales, cálculo matemático, música, que pueden ser muy relevantes para cada caso, individualizadamente”, apunta el doctor Conesa.

Esta técnica, que se utiliza “para la extirpación de lesiones en áreas de alta elocuencia funcional es una clara tendencia de la neurocirugía a nivel global, y es también cada vez más frecuente en España”, aclara el doctor Conesa. De hecho, el neurocirujano fue pionero en este tipo de cirugías en nuestro país y realizó la primera en España en 1989. Añade que, “se utiliza no sólo en tumores primarios del cerebro, sino también en metástasis cerebrales, así como en otras patologías tales como la cirugía de la epilepsia, angiomas cavernosos o en malformaciones arteriovenosas”.

Alrededor de la mitad de los tumores malignos que se originan en el cerebro se hallan cerca de zonas elocuentes y estas cirugías han demostrado una tasa de éxito del 96% en la preservación de funciones.

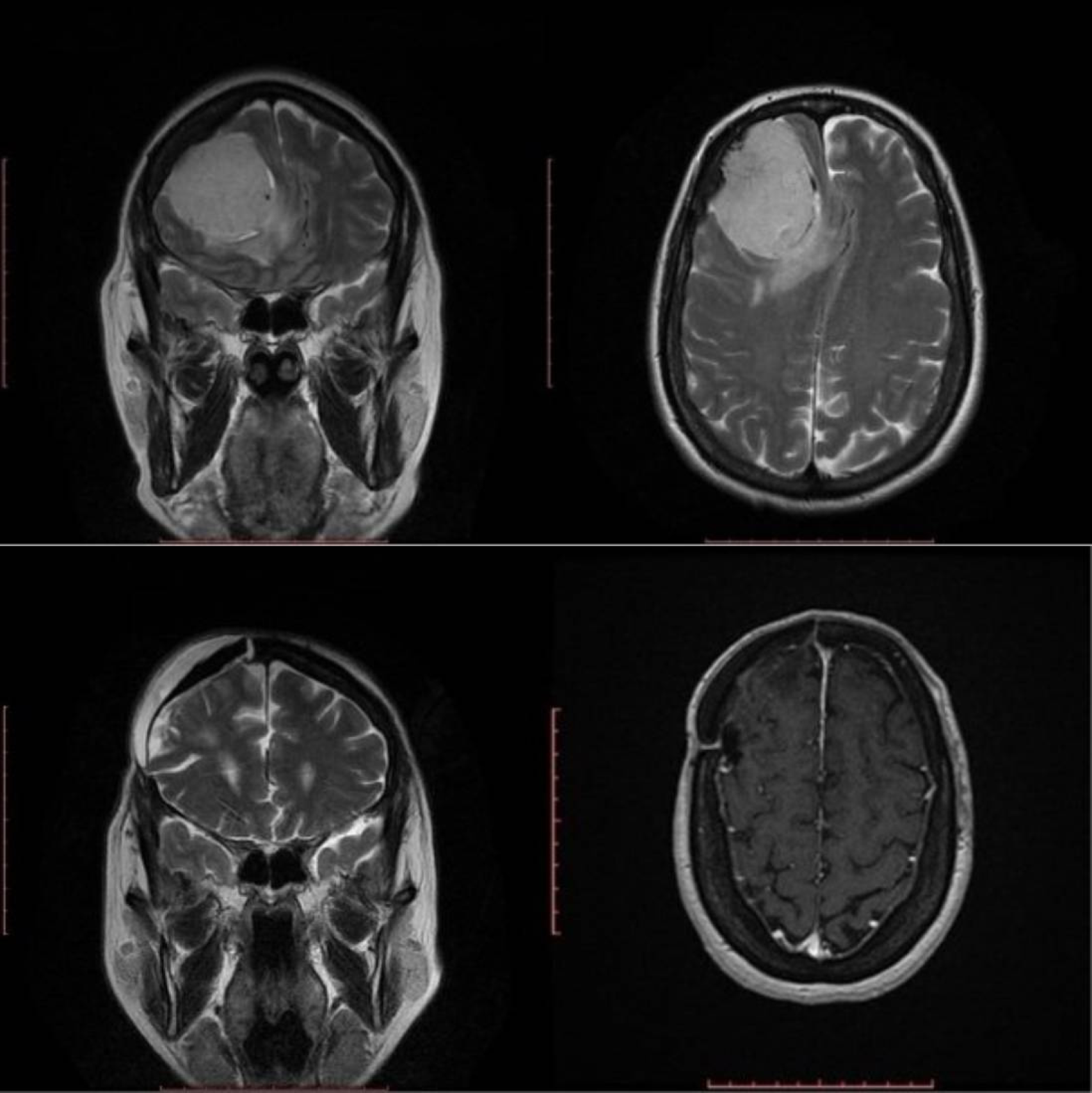
Imagen de una lesión tumoral antes y después de la cirugía.

Imagen de una lesión tumoral antes y después de la cirugía. Quirónsalud

Durante el procedimiento -con el cerebro expuesto- “el paciente debe responder a pruebas verbales y motoras mientras el cirujano identifica áreas funcionalmente importantes mediante estimulación eléctrica”, detalla la doctora Estela Lladó-Carbó, especialista en Neurofisiología en el Centro Médico Teknon. Es lo que se conoce como mapping o cartografía cerebral.

Por ejemplo, se le piden nombrar objetos, generar verbos e incluso se le pasan tareas de lectura o escritura. “También se le piden aspectos más globales de expresión verbal tales como describir láminas que se muestran, contar el cuento de caperucita o describir un bosque”, añade el doctor Conesa.

El doctor Peña explica cómo, “en el lenguaje, el conjunto de procedimientos en los que el paciente realiza tareas de distinta naturaleza (nombrar, repetir, leer, comprender) son interferidas eléctricamente aplicando determinados tipos de corriente en zonas locales cerebrales. La interferencia a través del estímulo eléctrico indica que aquella zona es crítica en la tarea que está realizando. En este caso el cirujano coloca una etiqueta (bandera, número) para identificar la zona. Las distintas banderas indican la lengua interferida en casos de bilingües o políglotas”. Los test se repiten antes de cada pequeña incisión para asegurar el mantenimiento de la función.

Este mapa del cerebro, continúa el doctor Conesa, “genera una serie de zonas de riesgo y unos corredores de acceso a la extirpación del tumor en el córtex del paciente, pero no da ninguna indicación sobre la zona por debajo del mismo, subcortical. Para poder navegar con seguridad por debajo del córtex, en el propio tumor o en sus alrededores, el paciente es monitorizado de forma continuada por el neuropsicólogo, y con frecuencia su función motora y sensitiva por neurofisiología”.

La intervención dura como mínimo cuatro horas y cuando se trata de tumores grandes puede extenderse hasta las ocho o nueve horas. Dada la complejidad del procedimiento, recalca el neurocirujano, “es imprescindible que exista un equipo muy entrenado y muy competente para poder realizar una cirugía óptima. En este sentido es muy relevante el papel del neuroanestesista que pasa de despierto a dormido al paciente, y el del neurofisiólogo, al igual que el del neurorradiólogo, neuropsicólogo y neurocirujano”.

Gimnasia cerebral

La recuperación tras la cirugía suele ser rápida. Aunque en la mitad de los casos el paciente empeora en los primeros días, debido al edema postquirúrgico, la estancia general en el hospital es de cinco días y la mejoría cognitiva se muestra ya en las primeras semanas.

Tras la intervención, “una vez han pasado los primeros días, la logopedia y rehabilitación del lenguaje deben empezar cuanto antes”, afirma el doctor Conesa. La SEN declara que el 80% de las personas que sufren un tumor cerebral requieren de neurorrehabilitación, y esta suele comenzar tras la primera semana después del tratamiento.

La recuperación motora, por otra parte, se inicia incluso durante el periodo de hospitalización postoperatorio, con el objetivo de prevenir complicaciones y asegurar que el paciente no presente ninguna disfunción motora que comprometa su calidad de vida.