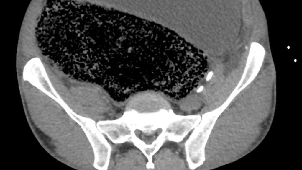
Imagen por escáner de la impactación fecal masiva que sufría el paciente en su abdomen. BMJ Case Reports
El hombre que perdió el uso de una pierna y pudo morir por estreñimiento masivo
La acumulación de hasta dos litros de heces en su abdomen había aplastado una de sus arterias y ponía en grave peligro su vida.
El angustioso caso de la chica que notaba un órgano moverse suelto dentro del cuerpo
El joven que se quedó parapléjico por comerse una babosa tras una apuesta
Noticias relacionadas
- Perfora su intestino después de introducirse un objeto de 77 cm por el ano
- Esto es lo que ocurre si no vas voluntariamente al baño durante 47 días
- Píldoras de caca: la alternativa "agradable" para curar infecciones intratables
- No dejes que las moscas toquen tu comida: sus patas llevan bacterias peligrosas
- El joven que se quedó parapléjico por comerse una babosa tras una apuesta
- El hombre que se rompió la garganta por estornudar con educación
Lo que vemos en la imagen del interior del cuerpo del paciente que ilustra este artículo no es un órgano inflamado, el crecimiento de un tumor masivo o un cuerpo extraño a su propio organismo. Es caca. Por motivos que no han trascendido, este australiano de 57 años llevaba días sin ir al baño. Pero no acudió finalmente al médico hasta que se presentó un síntoma alarmante: había perdido el uso de la pierna derecha.
El paciente refirió a los especialistas que había comenzado a sufrir dolor abdominal, hinchazón y náuseas 72 horas antes. Pero en las últimas 24, el dolor específico en la extremidad se había transformado en parálisis. Era incapaz de mover la pierna y mantenerse de pie. La exploración de los médicos, según el artículo publicado en BMJ Case Reports, constató la ausencia de pulso y la frialdad del miembro al tacto.
El paciente no tenía un historial de enfermedades cardiovasculares ni de medicación o consumo de estupefacientes que justificasen el diagnóstico de isquemia, el corte del riego sanguíneo que proporciona la arteria a la pierna. Fue el escáner abdominal lo que reveló un caso extremo de impactación fecal, la situación en la que las heces retenidas se endurecen y secan en el interior del organismo, formando una gran masa.
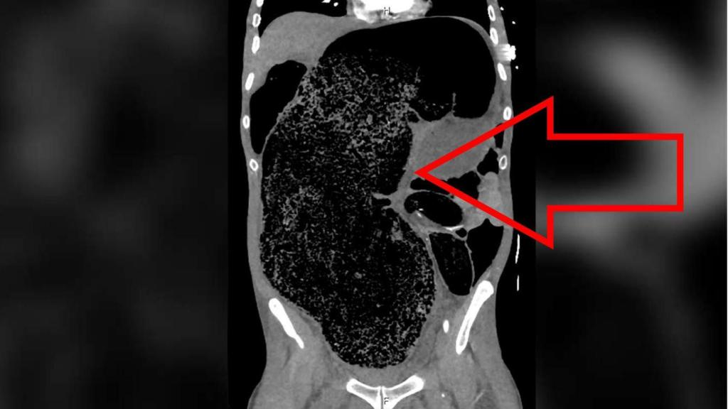
La masa fecal vista en el corte longitudinal, y la presión sobre las arterias. BMJ Case Reports
En este caso, la compactación había llegado al punto de provocar la distensión de su intestino grueso y abdomen, y la enorme masa impactada presionaba contra su arteria ilíaca derecha, provocando la isquemia responsable de cortar el riego a su pierna. También sufría síntomas de fallo renal y acidosis metabólica -una acumulación perniciosa de ácido- que determinaron una intervención quirúrgica inmediata.
"Se procedió a una desimpactación manual de emergencia bajo anestesia general mediante la cual se extrajeron aproximadamente dos litros de heces" - describe el equipo liderado por los doctores Simon Ho, Russel Krawitz y Bill Fleming. Cuatro días después, el paciente pudo abandonar la planta de cuidados intensivos para ser tratado con laxantes. La recuperación completa y el poder caminar sobre sus propio pie no llegó hasta dos semanas después.