El objeto que se introdujo el paciente por el recto.
Perfora su intestino después de introducirse un objeto de 77 cm por el ano
La revista 'BMJ Case Reports' publica el caso de un paciente que tuvo que ser intervenido por el grave daño que le provocó un juguete sexual.
Noticias relacionadas
- El extraño caso del hombre que perdió oído tras morder un huevo cocido
- El extraño caso de la mujer que sufría orgasmos al cepillarse los dientes
- El extraño caso del dolor de estómago provocado por un mechero
- El extraño caso de la mujer a la que se le infectó un tatuaje 15 años después
- El extraño caso de la mujer que estuvo al borde de la muerte por una liposucción
- El extraño caso de cáncer de pulmón que acabó siendo una ficha de Playmóbil
La introducción de cuerpos extraños por el recto es una práctica sexual habitual entre algunas personas que puede provocar graves daños en el tracto digestivo. Al contrario de lo que pueda parecer, los médicos y especialistas se encuentran con cierta frecuencia con este tipo de casos en las salas de urgencias de los hospitales y la literatura científica ha detallado y analizado en numerosas ocasiones este tipo de prácticas, que no siempre acaban con final feliz.
La revista BMJ Case Reports acaba de publicar uno de los casos más extraños y surrealistas que se recuerdan. De hecho, el título del estudio no puede ser más elocuente: 'Una jugada que salió mal: presentación de una perforación intestinal por un cuerpo extraño inusualmente grande introducido por el ano'.
Según relata la conocida publicación científica, un hombre británico de 53 años acabó perforándose el intestino después de introducirse un objeto de 77 centímetros -"inusualmente grande"- por el recto. Este caso, "el primero de su tipo y único debido al enorme tamaño", ha llevado a los facultativos a advertir una vez más de que la introducción de objetos por el ano es una práctica "altamente peligrosa".
Dibujo de cómo atravesó el objeto el intestino grueso y casi alcanzó el diafragma.
Tal y como se detalla en el trabajo, el paciente, cuyo nombre no ha trascendido, confesó que estaba borracho y decidió autosatisfacerse introduciéndose un largo objeto flexible pero "perdió el control" del mismo. A los pocos minutos, en lugar de placer, empezó a experimentar un fortísimo dolor que le hizo acudir al hospital. Allí explicó a los facultativos que había decidido introducirse un extraño juguete sexual sin batería.
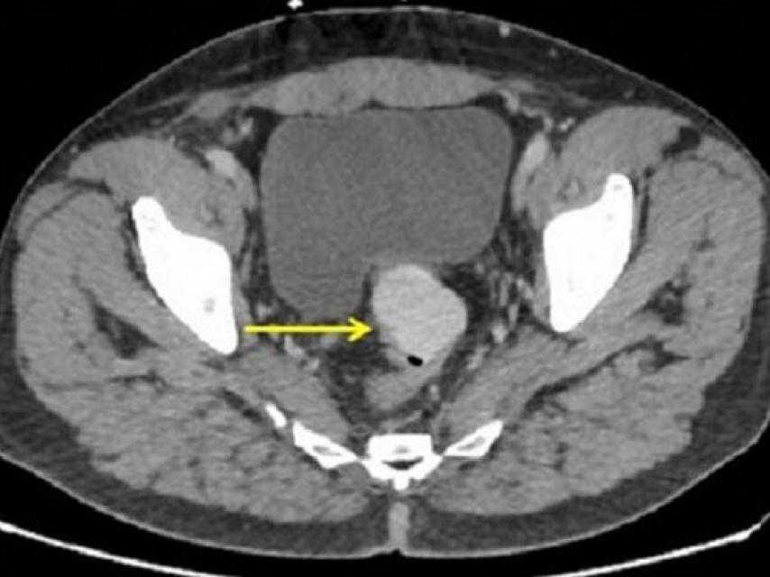
El equipo médico dirigido por el doctor Saad Ikram decidió entonces hacerle una radiografía que hizo saltar todas las alarmas. La placa mostraba una preocupante sombra en el lado derecho de su abdomen. Fue entonces cuando el paciente confesó el tamaño del juguete utilizado, de casi un metro de longitud. Las siguientes exploraciones que se le realizaron revelaron que la práctica sexual había llegado demasiado lejos, se había perforado el intestino y había atravesado todo el abdomen, llegando casi al diafragma.
Radiografía que muestra la perforación en el intestino grueso.
Fruto del enorme daño que se había provocado, los cirujanos se vieron obligados a intervenir a este británico y a quitarle 20 centímetros de intestino grueso que había quedado gravemente dañado en el acto. Pero la cosa no acaba aquí. Tras la operación, el paciente se vio obligado a pasar nueve días en el hospital y los médicos tuvieron que practicarle una ostomía para que las heces fueran eliminadas a través de una bolsa adherida a su cuerpo.
Tal y como adviertió el gastroenterólogo británico Rishi Goel al diario británico Daily Mail, "la inserción de cuerpos extraños a través del tracto intestinal puede provocar hemorragias y perforaciones que pueden requerir tratamiento endoscópico o quirúrgico". De hecho, existe una gran variedad de juguetes sexuales diseñados para la masturbación anal tanto de hombres como de mujeres. El sentido común, apuntan los facultativos, ha de ser también un fiel aliado para tener una vida sexual exenta de riesgos innecesarios.