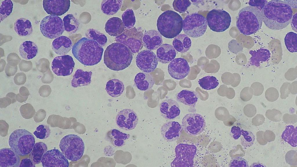
Sangre al microscopio de un afectado por leucemia

Sangre al microscopio de un afectado por leucemia

Salud Hematología

Así es la leucemia de Cristian: sin factores de riesgo, rápida y con un éxito de curación limitado

Este cáncer de la sangre afecta a niños y adultos y sin tratamiento puede provocar el fallecimiento del paciente en menos de un mes. 

Publicada

Noticias relacionadas

Una simple hemorragia nasal llevó a Cristian Bosco, el surfero hispanomexicano atrapado en Bali que volverá en los próximos días a España, a acudir al hospital mientras disfrutaba de unas vacaciones en el conocido enclave turístico indonesio, paraíso de los amantes del surf. El diagnóstico resultó devastador y, seguramente, inesperado. Un hombre joven, 30 años recién cumplidos, se enfrentaba sin ningún signo previo a un cáncer de la sangre muy agresivo, una leucemia aguda. 

La familia ha explicado que la enfermedad que padece el joven es leucemia hiperleucocitósica aguda pero, según explica a EL ESPAÑOL el coordinador del Grupo Leucemia Linfoblástica Aguda del Programa Español de Tratamientos en Hematología (PETHEMA) de la Sociedad Española de Hematología y Hemoterapia (SEEH), José María Ribera, a ese nombre le faltaría "al menos", un apellido

El experto, jefe del servicio de Hematología en el Instituto Catalán de Oncología (ICO), comenta que este tipo de cáncer se produce cuando los precursores de los leucocitos, un tipo de célula del sistema inmune, proliferan de forma incontrolada, invadiendo la médula ósea, primero, y la sangre y los tejidos adyacentes después. 

El adjetivo "aguda" significa que lo hace de forma rápida, mientras que la variante crónica implica un ritmo menor, que se refleja en los porcentajes de supervivencia. "En la leucemia aguda o te curas o te mueres", subraya el especialista. 

Existen dos grandes grupos de leucemias, las mieloides y las linfoides y en ambos se puede dar la variante que padece Cristian, la leucocitósica. "Esto simplemente significa que las células han invadido la sangre y que al microscopio se ven muchos leucocitos, pero no son bueno, no ejercen su función correctamente", apunta. 

El experto apunta a que son las mieloides las más frecuentes en personas de la edad del joven surfista, mientras que las linfoides se ven más en niños, aunque no es ni mucho menos una clasificación estanca. "Todos los tipos de leucemia se pueden dar en todas las edades", resalta. 

Síntomas y pronóstico

Una de las peculiaridades de este cáncer frente a otros es que puede pasar desapercibido hasta muy poco tiempo antes del diagnóstico. "La persona puede encontrarse perfectamente una semana antes", comenta el hematólogo. Eso sí, llega un punto en que algo empezará a fallar también externamente y el paciente consultará al médico por notar síntomas anormales. 

En el caso de Cristian fue una hemorragia nasal persistente, algo habitual en estos casos. Una de las funciones de los leucocitos es formar plaquetas, entre cuyas funciones se encuentra precisamente prevenir el sangrado. El médico afirma que esto no significa que haya que acudir a Urgencias en cuanto uno empieza a sangrar. "Ha de ser un sangrado anormal y sin ninguna causa, puede ser por la nariz, pero también por la piel, lo que hace que salgan unas manchas hemorrágicas -rojas- muy características", resume. 

Otro síntoma común -si el sangrado es interno o pasa desapercibido- es el cansancio, de nuevo fuera de lo normal. Es un signo de anemia, provocada por esta pérdida de sangre. Por último, Ribera señala a otro grupo de síntomas: las infecciones comunes y graves, que se repiten sin motivo, indicador de que las defensas de nuestro organismo no están llevando a cabo su papel. 

El portavoz de la SEEH tiene claro que padecer una leucemia aguda dista de ser una buena noticia. Si bien los porcentajes de curación en niños son algo mejores -en el caso de las linfocíticas está en el 90% y en de las mieloides en el 60%-, en adultos oscilan entre el 50% -las primeras- y el 40% -las segundas-. 

El trasplante, pero no tan rápido

Aunque el llamamiento para el regreso de Cristian a España ha sido que necesita un trasplante de médula, ésta no será la primera medida terapéutica a la que se someterá el joven. Antes, tendrá que someterse a quimioterapia, en un tratamiento combinado de varios fármacos que puede durar entre tres y seis meses

En muchos casos, y siempre que se alcance el llamado estado de remisión -que significa que ya no se ven células anómalas al microscopio, pero que éstas pueden volver a proliferar en cualquier momento-  se efectuará dichos trasplante, para el que habrá que encontrar un donante compatible. "Normalmente se empieza a buscar tras el diagnóstico, por si hace falta", recalca el médico. 

Desde luego, a Cristian no le faltarán candidatos. Como afirman en la página web del crowdfunding puesto en marcha para financiar su traslado, el joven es el pequeño de 23 primos, todos potencialmente compatibles. Además, dada la solidaridad que ha despertado su caso, no sería de extrañar que el surfista se convirtiera en un nuevo Pablo Ráez y disparara las donaciones anónimas de médula ósea. 

Entre tanto, Ribera advierte que las transfusiones de sangre que le están haciendo al cántabro mejicano no son nada más que un parche. "Son para ganar tiempo, pero si sólo haces eso, el paciente fallece en menos de un mes", concluye.