El círculo íntimo de Ángel Nieto que le acompaña en sus horas más críticas Carmen Lucas-Torres 28/07/2017 04:26h
Fonsi suspende sus compromisos laborales para estar junto a su tío Ángel Nieto Ane Olabarrieta 27/07/2017 11:26h
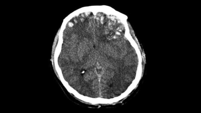
El traumatismo craneal de Ángel Nieto: difícil pronóstico y qué hacer Roberto Méndez 26/07/2017 20:11h
Ángel Nieto sufre un fuerte traumatismo craneal y tiene un coágulo en la cabeza Elena Isardo 26/07/2017 18:43h
Los famosos se vuelcan con Ángel Nieto en sus momentos más críticos Cristina Rodrigo 26/07/2017 18:35h
La valiosa colección de objetos personales de deportistas del Rafa Nadal Sports Centre Podium 27/09/2016 23:22h
Ángel Nieto y Perico Delgado apadrinan el teatro inclusivo de Blanca Marsillach Pedro Cifuentes 02/05/2016 21:02h