MARCHA PLATAFORMA DE AFECTADOS POR HEPATITIS

MARCHA PLATAFORMA DE AFECTADOS POR HEPATITIS Víctor Lerena Agencia EFE

Salud Infecciones

El hombre que se curó de su cáncer con el fármaco para la hepatitis C

Es la primera vez que se observa este efecto inesperado del tratamiento combinado para la enfermedad.

Ainhoa Iriberri
Publicada

El dos por uno que afectó a un varón de 44 años -del que se desconoce el nombre- en 2014 es mejor que cualquier oferta que éste hubiera soñado ver en una escaparate. Se trata de un hito en la literatura médica que acaba de recoger la revista The New England Journal of Medicine y que ha sorprendido tanto a su protagonista como a los médicos que han contribuido a él.

"Desde luego que no lo esperábamos", explica a EL ESPAÑOL Alastair O'Brien, hepatólogo de los hospitales University College London y The Royal Free, en la capital británica.

O'Brien es uno de los firmantes de la carta en la que se establece el relato de los hechos, que comienza con un hombre que se nota un bulto debajo de la mandíbula y acude al médico, que le prescribe una biopsia. La misma devuelve el resultado menos esperado: el paciente padecía un linfoma folicular de grado 2, un cáncer del sistema linfático que estaba, además, en estadio 4, es decir, sumamente extendido, aunque el pronóstico no era muy malo (puntuaba 1 sobre 5 en el índice internacional de pronóstico).

Los análisis previos al tratamiento habitual para este tipo de enfermedad -quimioterapia- desvelan que el paciente está infectado con el virus de la hepatitis C y, de hecho, su cáncer está asociado a este patógeno. La literatura científica habla de la asociación de otros tipos de linfomas, los de células B, con el virus.

Antes de empezar con la quimioterapia, sus médicos deciden intentar erradicar el VHC de su organismo. "Queríamos prevenir que los niveles del virus se dispararan durante el tratamiento y pudieran así restringir la quimioterapia", comenta el hepatólogo a este diario.

Para ello, optaron por uno de los nuevos fármacos contra la hepatitis C, el sofosbuvir -conocido en todo el mundo por el elevado precio con el que salió al mercado, que provocó retrasos en su implementación en muchos países, incluido España, que ya se han solucionado -, en combinación con otro medicamento más antiguo, la ribavirina.

Durante seis meses, el enfermo se centró en la erradicación de su virus, pero sabía que la quimioterapia iba a llegar más temprano que tarde. Tres meses después de que acabara el tratamiento, el virus -que había desaparecido de su organismo- seguía fuera del mismo: la terapia, como ocurre en un elevadísimo porcentaje de casos, había sido eficaz.

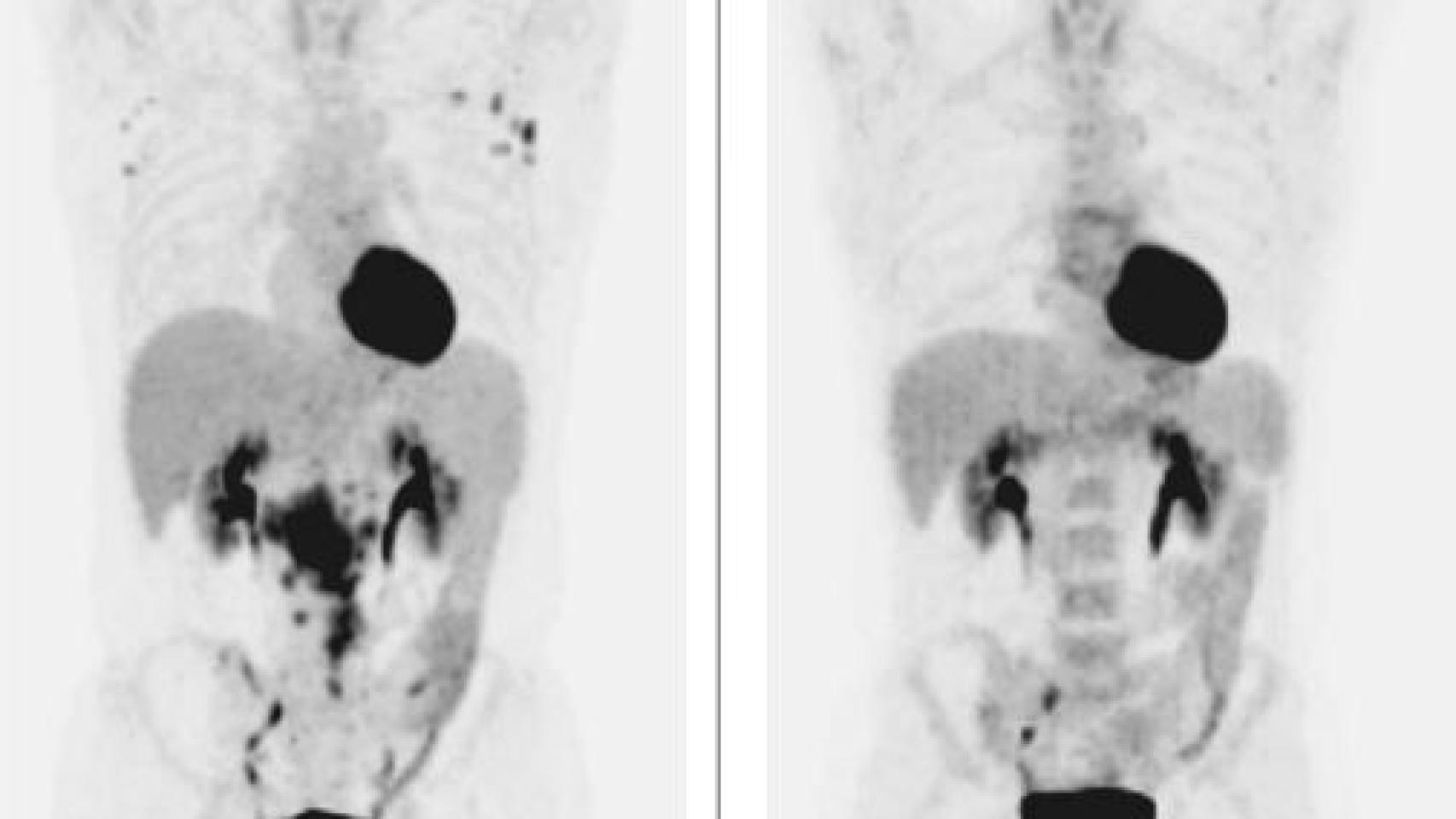
Antes de comenzar la quimioterapia para su linfoma, el paciente se sometió a un TAC de pecho, abdomen y pelvis. Se trataba de ver el estado del tumor antes de iniciar el tratamiento, lo habitual en estos casos.

El tumor, antes y después del tratamiento para la hepatitis C.

El tumor, antes y después del tratamiento para la hepatitis C. The New England Journal of Medicine

"El escaner nos pilló totalmente por sorpresa y mostraba claramente que ya no había enfermedad", comenta O'Brien, que recuerda muy bien cuando se lo comunicó al paciente. "Estaba encantado. Cuando le vi después de acabar su tratamiento para la hepatitis C y decirle que éste había tenido éxito, me comentó que ya no sentía el bulto en su cuello ni en su abdomen, pero que seguramente serían imaginaciones suyas", subraya.

Nada más lejos de la realidad. La prueba de diagnóstico por imagen demostró que esa percepción del enfermo -ya sano- era real. Y así siguió siéndolo en la siguiente revisión, a los seis meses. En septiembre de 2016, el protagonista de esta historia seguía sano y sin evidencia de recurrencia de la enfermedad. Se trataba del primer caso de curación de un tumor maligno de este tipo tras aplicar las nuevas terapias contra la hepatitis C. 

En la carta en la revista estadounidense, los autores señalan que se había visto que una terapia antiviral más antigua, el interferón, podía inducir la remisión del cáncer en pacientes con hepatitis C y linfomas de células B. Otro caso registrado en la literatura médica había demostrado respuesta de un paciente también de linfoma de células B al tratamiento con sofosbuvir, pero en administración simultánea con la quimioterapia.

Los autores del estudio subrayan, eso sí, que este hallazgo sólo serviría para tumores malignos mediados por una infección y no para cualquier linfoma. Es decir, que no se puede pensar en un escenario en que las terapias antiVHC sustituyan a la quimioterapia. En cualquier caso, el médico lo tiene claro. "Estoy encantado", concluye.