Utilización de la técnica CRISPR-Cas9 C. Foto: Nature
Partiendo de la frase del genetista George Church "El genio ya está fuera de la botella", Sánchez Ron reflexiona sobre la intervención del científico chino He Jiankui en el genoma de una niña utilizando la técnica CRISPR. "Todavía no se sabe qué efectos puede tener esta iniciativa científica", señala el académico.
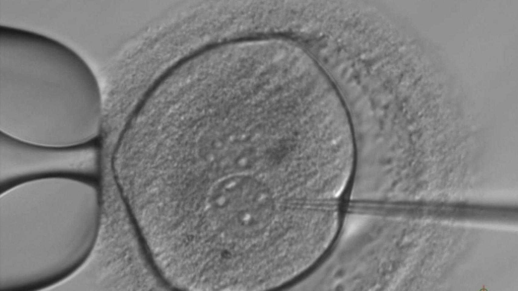
Hay noticias que aunque nos puedan repugnar no son inesperadas. Una de ellas fue el anuncio que el científico chino He Jiankui realizó en noviembre de que había utilizado la técnica de edición genética CRISPR-Cas9, descubierta en 2012, para eliminar en el genoma de una niña un gen, el denominado CCR5, que permite al virus del sida entrar en el sistema inmunológico de una persona destruyéndolo. Para entender lo que representa este hecho es preciso explicar en primer lugar que la niña en cuestión es una de las gemelas, Lulu y Nana, que nacieron a principios de octubre concebidas mediante la técnica de fertilización in vitro. Formaban parte de un estudio (experimento) en el que, por lo que se sabe, han participado siete parejas, con la condición de que el padre putativo fuese portador del virus del sida. El gen CCR5 fue eliminado de una de las niñas, pero no de la otra.La reacción ante el anuncio ha sido de repulsa general. El problema es que aunque existe un amplio catálogo de genes que se asocian a males, como pueden ser la fibrosis quística o la distrofia muscular de Duchenne, el genoma no es un conjunto de elementos (genes) independientes entre sí, y todavía no se sabe qué efectos puede tener en el sujeto intervenir en una parte de él. Precisamente por esto, en la primera reunión del Congreso Internacional de Edición Genómica, que tuvo lugar en Hong Kong en 2015, se acordó que no se debían utilizar las técnicas de edición de genes en ningún embarazo hasta que no quedasen claras las cuestiones asociadas de seguridad y ética. No deja de ser significativo que el anuncio del doctor He se haya producido en el segundo de esos congresos. Tampoco debe pasar desapercibido que las posibles ventajas de lo que ha logrado este científico no son tantas: cuando se recurre a la fertilización in vitro y el donante de esperma es un varón portador del virus del sida, se "limpia" el semen y los riesgos de infección son pequeños.
A la vista de lo dicho, queda clara la naturaleza de lo realizado por el doctor He, quien seguramente se verá a sí mismo como un intrépido aventurero que se adentra en tierras si no desconocidas, sí en las que existen riesgos. Pero los beneficios, tal vez pensará, merecen la pena: pasar a la historia como el primero que se atrevió a hollar semejantes territorios.
La reacción de repulsa es comprensible - yo la comparto-- pero, seamos sinceros, ¿es sorprendente? Los científicos no son ajenos al mundo en el que viven, un mundo en el que florece la posverdad, las fake news, un mundo en el que valores previamente aceptados están siendo sujetos a revisión constante, una revisión -hija del posmodernismo- desordenada, tanto en conceptos y argumentos como en protagonistas (cualquiera). Entre los que han expresado su oposición a lo hecho por el doctor He se encuentra el Premio Nobel David Baltimore, del Instituto Tecnológico de California. En febrero de 1975, Baltimore fue uno de los participantes destacados en una hoy famosa conferencia celebrada en Asilomar (California), a la que asistieron 150 científicos. La reunión se había convocado para considerar los peligros que habían surgido ante avances recientes en las técnicas para el aislamiento y unión de segmentos de ADN, que permitían construir in vitro moléculas de ADN recombinante biológicamente activas. En una carta publicada el año anterior en los Proceedings of the National Academy of Sciences, Science y en Nature, firmada por once de los más prestigiosos e influyentes biólogos moleculares (Baltimore uno de ellos), y que dio origen al conclave de Asilomar, se decía: "Varios grupos de científicos están planeando en la actualidad utilizar esta tecnología para crear formas de ADN recombinante a partir de varias fuentes virales, animales y bacterianas. Aunque es posible que estos experimentos faciliten la solución de importantes problemas biológicos teóricos y prácticos, también darán como resultado la creación de nuevos tipos de elementos de ADN infecciosos, cuyas propiedades biológicas no se pueden predecir completamente de antemano. Existe seria preocupación de que algunas de estas moléculas artificiales de ADN recombinante puedan ser biológicamente peligrosas". Con las variaciones oportunas, la esencia de estas palabras es perfectamente válida hoy. Solo que, insisto, el mundo ha cambiado bastante, sociológica y políticamente, desde entonces.
Aunque también haya quienes no ven con ojos tan críticos lo que ha hecho el doctor He, asumiéndolo como inevitable (uno de ellos es el genetista biomolecular de Harvard, George Church, quien ha manifestado que "El genio ya está fuera de la botella"), seguramente He se convertirá en un apestado en la comunidad científica internacional. No pienso que esto no esté justificado -jugar con la vida humana no puede justificarse nunca-, pero existe un cierto cinismo en los baremos que se aplican a este caso frente a otros. Pocos días después del anuncio proveniente de China, se ha sabido que en Brasil ha nacido un bebé desarrollado en un útero procedente de una donante fallecida, lo que, se ha dicho, "podría aumentar las opciones de concebir para las mujeres con problemas de fertilidad uterina". Con anterioridad se había intentado lo mismo, sin éxito, en diez casos, en centros de Estados Unidos, la República Checa y Turquía. El problema es que aún no se sabe mucho sobre las diferencias -sobre las futuras repercusiones para los nacidos así- entre los trasplantes de útero procedentes de donantes vivos y fallecidos. ¿Son diferentes los criterios seguidos en la comunidad médica que en la biológica molecular?
Si lo que preocupa es lo que puede suceder a Lulu o a Nana (ignoro a cuál se aplicó la técnica), y a sus posibles descendencias, mucho más grave, aunque pertenezca a un dominio muy diferente, es el efecto que para millones y millones de personas de los tiempos venideros representa la negación del cambio climático y la resistencia a tomar medidas para combatir la subida de temperatura global. No es preciso señalar a los culpables, uno de ellos, maestro de la posverdad, particularmente notable. Pero ahí sigue, sin que políticos que sí manifiestan su preocupación por el clima no tengan reparos en buscar su compañía y hacerse fotografías a su lado. Al obrar así, confunden la política y diplomacia internacional, un asunto necesario entre naciones, con el compadreo publicitario con sus temporales representantes.
