Un embarazo en la cicatriz de cesárea.

Un embarazo en la cicatriz de cesárea.

Salud Maternidad

La mujer que sufrió cinco embarazos en cicatrices de cesárea y los sacó adelante

Que un embarazo implantado en la cicatriz de una cesárea llegue a término es muy raro, pero a la protagonista de este caso le ocurrió cinco veces.

Publicada

Noticias relacionadas

Cuando se produce un embarazo en una mujer que ha sufrido una cesárea previamente, es muy poco común que el llamado "saco gestacional" - el pequeño envoltorio en el que se desarrolla el embrión - se implante en la cicatriz dejada por la apertura del vientre en el parto anterior. El organismo humano es sabio, y si se produjese este embarazo en una cicatriz de cesárea -CSP en sus siglas inglesas-, el riesgo de "placenta adherida" o "placenta accreta" es muy elevado.

De forma resumida, un embarazo tipo CSP - el cual ocurre en 1 de cada 2.500 gestaciones - implica un gran riesgo tanto para la madre como para el futuro neonato. Si se produce la mencionada "placenta adherida", hay elevadas posibilidades de hemorragia. Pero puede ocurrir, y de forma repetida. De hecho, y según un nuevo informe publicado en Ultrasounds in Obstetrics & Ginecology, existe un caso de una mujer que sufrió esta rara situación hasta cinco veces.

Actualmente, según los datos de este reciente informe, la tasa de cesáreas ha aumentado desde tan solo un 5% en el año 1970 hasta un 32% en 2015. Por ello, es posible que los embarazos en cicatrices de cesárea o CSP se hayan vuelto más comunes de forma proporcional a dichas cesáreas.

¿En qué consiste la placenta accreta?

Según la Organización Mundial de la Salud, la placenta suele expulsarse del organismo durante la hora que sigue al nacimiento del bebé. En el caso de la placenta accreta o placenta adherida, esto no sucede. Este tejido llega a crecer de forma profunda en la pared del útero. Cuando esto sucede el riesgo de sangrado potencialmente mortal se eleva exponencialmente. 

Por ello, las mujeres que han sufrido una cesárea previa suelen tener riesgo de sufrir un embarazo en la cicatriz de la cesárea, y deben ser más monitorizadas que de costumbre. Si se da el caso de placenta adherida, las consecuencias pueden llegar a la histerectomía o extirpación del útero tras un embarazo así.

El caso que nos ocupa es el de una mujer de 35 años, a la cual ya se le recomendó en su día interrumpir el embarazo por el potencial riesgo de sufrir un CSP. Tras dos cesáreas sin complicaciones, esta mujer tuvo hasta cuatro embarazos más con los que prosiguió pese a ser de riesgo. Consecuentemente, sufrió una cesárea tras otra, sin complicaciones.

Los investigadores conocieron a la mujer a principios del año 2015, tras los cuatro embarazos sobre cicatriz de cesárea. Se había quedado embarazada de nuevo, a sabiendas de que podía tratarse de una quinta gestación en esas arriesgadas circunstancias. Sin embargo, siguió adelante.

Otro problema: la placenta retenida

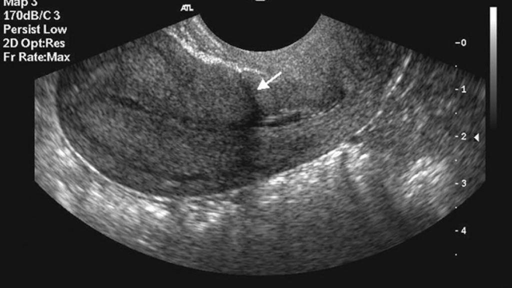
Finalmente, tras realizarle una de las ecografías típicas del seguimiento de un embarazo, los médicos detectaron que el saco gestacional se encontraba en la parte inferior del útero, cercano a una antigua cicatriz de cesárea. Asimismo, la bolsa que contenía el feto y el líquido amniótico tenía más vasos sanguíneos a su alrededor de lo normal, un signo de sospecha de CSP.

Según los investigadores, este sería el primer caso documentado en la literatura médica donde una mujer llega a sufrir hasta 5 embarazos en cicatriz de cesárea o CSP.

Aunque la mujer decidió continuar con el embarazo siguiendo un control muy riguroso, las ecografías realizadas cada dos o cuatro semanas acabaron evidenciando el desarrollo de una placenta retenida, la cual además se situó a lo largo del cuello del útero de la mujer, una condición denominada "placenta previa"y la cual implica que la misma placenta obstruiría el canal uterino complicando un parto vaginal.

Debido a todas estas complicaciones, finalmente se realizó un parto por cesárea a las 34 semanas de embarazo, seguido de una histerectomía. El proceso quirúrgico fue exitoso, tanto para la madre como para el bebé, aunque ella necesitó una transfusión debido a la pérdida de sangre durante el alumbramiento, el último para esta arriesgada pero fructífera joven madre debido a la extirpación del útero.