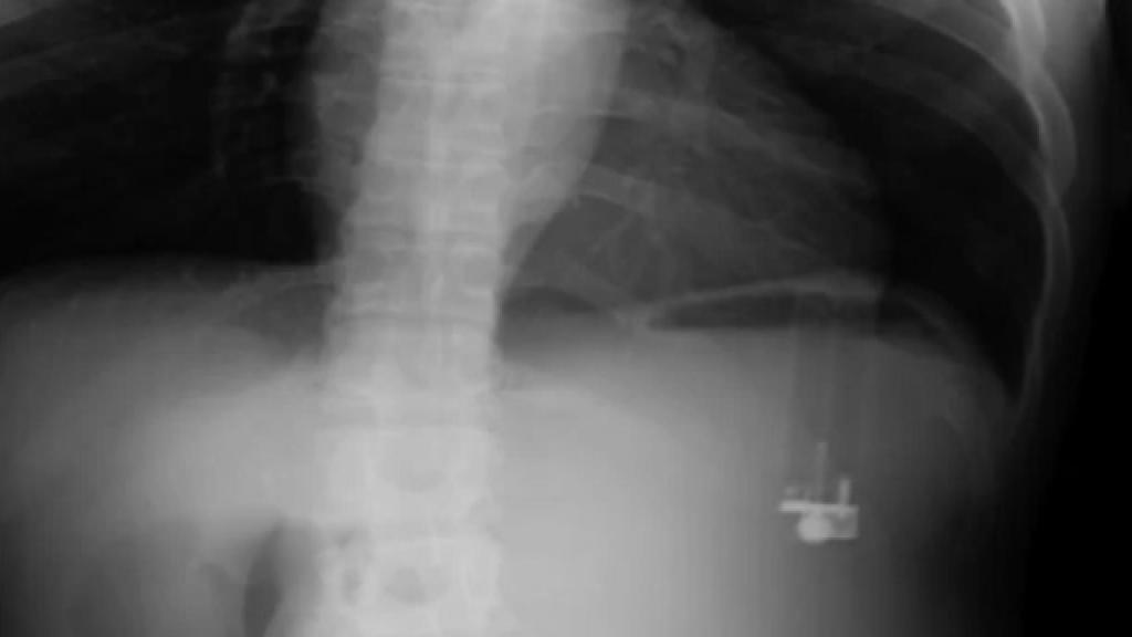
Radiografía en la que se aprecia el encendedor dentro del estómago.
El extraño caso del dolor de estómago provocado por un mechero
Los médicos se llevaron una enorme sorpresa cuando hicieron una radiografía a este paciente y encontraron el origen de su afección.
Noticias relacionadas
- El extraño caso de la mujer a la que se le infectó un tatuaje 15 años después
- El extraño caso de la mujer que estuvo al borde de la muerte por una liposucción
- El extraño caso de cáncer de pulmón que acabó siendo una ficha de Playmóbil
- El extraño caso de la mujer a la que mataron los conejos sin tocarla
- El extraño caso de la mujer que casi pierde la vista por rascarse la nariz
Sufrir un dolor abdominal es, junto con los resfriados, una de las quejas más comunes a nivel médico. En gran parte de las ocasiones dichos dolores no distan de ser más que una gastroenteritis de poco tiempo de duración. Sin embargo, en otros casos la cosa es más complicada de lo que en un principio pudiera parecer.
Uno de estos casos fue el que sufrió un hombre de Florida de 49 años. El paciente acudió acudió a urgencias hace unos meses por un dolor de estómago, náuseas y vómitos. Esta vez, la dolencia no tenía un origen natural, sino que la estaba provocando un mechero que liberaba líquido dentro de su sistema gastrointestinal. Su caso acaba de ser publicado por la revista Case Reports in Emergency Medicine.
Durante su estancia en urgencias, los médicos le realizaron análisis de sangre y orina cuyos resultados se encontraban dentro de la normalidad. Sin embargo, tras realizarle una radiografía del abdomen, se logró vislumbrar el problema: un cuerpo extraño de características similares a un mechero se encontraba dentro de su estómago.
Mediante el uso de un endoscopio (un tubo delgado y flexible con una cámara y unas pinzas en su interior), los médicos que atendieron a este hombre lograron extraer el el encendedor de su estómago. Según pudieron observar mediante la cámara del endoscopio, el mechero que se encontraba en el estómago del paciente había derramado tanto líquido que había ocasionado una úlcera en su estómago.
Un caso casi inédito
Según señalan los autores del estudio, éste es el tercer caso de este tipo que existe en la literatura médica. Tan solo en dos ocasiones anteriores se han descrito situaciones similares donde un ser humano se ha tragado un encendedor. De hecho, éste es el primer caso publicado en Estados Unidos. En los dos casos anteriores descritos, el mechero en cuestión causó obstrucciones intestinales.
En este caso, la situación era más urgente ya que había líquido del mismo mechero goteando en el interior del estómago. Dicho líquido resulta extremadamente tóxico. Sin embargo, fue el ácido gástrico del propio paciente el que provocó la úlcera estomacal: el líquido del mechero acabó con la capa protectora más externa y el ácido gástrico logró perforar el resto.
Según el Dr. Asim Shuja, gastroenterólogo de la Facultad de Medicina de la Universidad de Florida y uno de los médicos que trató al paciente, este tipo de úlceras causadas por un cuerpo extraño no son demasiado comunes. Sin embargo, en ciertos casos donde los objetos contienen materiales tóxicos (como baterías por ejemplo), estos líquidos pueden derramarse y allanar el camino al ácido gástrico.
Si se logra extraer el objeto en cuestión, las lesiones causadas por el mismo suelen sanar, siempre y cuando se dé la medicación adecuada rápidamente. En este caso, tras extraer el mechero y prescribir medicación, la úlcera del paciente se curó durante los siguientes dos meses.
En la mayoría de las ocasiones los objetos extraños que se ingieren -y que no son comida- suelen entrar y salir del tracto digestivo sin mayores problemas. Entre dichos objetos están las prótesis dentales, los huesos de pollo o artículos domésticos habituales, según un estudio publicado en el año 2012.
Cabe destacar que algunos de estos objetos se tragan a propósito, debido a enfermedades mentales previas o por deseos de autolesión. En el caso de este paciente, sufría esquizofrenia y en una ocasión anterior ya había sido hospitalizado por ingerir una cuchara.