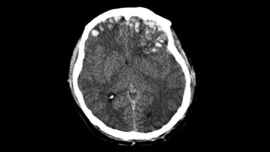
Un tac muestra la fractura craneal con hundimiento de un sujeto.

Un tac muestra la fractura craneal con hundimiento de un sujeto. Wikipedia

Salud

El traumatismo craneal de Ángel Nieto: difícil pronóstico y qué hacer

La rapidez en la intervención quirúrgica ante fracturas craneales como la que ha sufrido el ex piloto resulta esencial para un buen pronóstico.

Publicada

El término traumatismo craneoencefálico o TCE incluye una gran diversidad de signos y síntomas. Puede tratarse desde una pequeña herida o contusión, sin importancia ni consecuencias a corto o largo plazo, o bien llegar a casos graves más graves como el del mítico piloto zamorano.

Esta miércoles, alrededor de las 10:30h, el 12+1 veces campeón del mundo de motociclismo Ángel Nieto ha sufrido un grave accidente en un quad, en Ibiza. El ex piloto se encontraba conduciendo su vehículo por la carretera de Santa Eulària cuando, de repente, ha chocado contra un vehículo y ha salido despedido. Nieto, que reside en la isla, se encontraba frenando y el conductor que iba detrás de él no se dio cuenta de su presencia y acabó embistiéndolo por detrás.

El motociclista ha sufrido un traumatismo craneoencefálico grave. Nieto ha tenido que ser intervenido quirúrgicamente de urgencia "durante más de dos horas" en la Policlínica Nuestra Señora del Rosario por una fractura craneal que le ha provocado un coágulo y actualmente se encuentra intubado. Los responsables del centro han declarado que su estado es "grave pero no crítico". Se desconoce si Nieto llevaba casco, algo que podría agravar lesión y por tanto su pronóstico a largo plazo.

El quad en el que viajaba Ángel Nieto cuando ha tenido el accidente.

El quad en el que viajaba Ángel Nieto cuando ha tenido el accidente.

Qué hacer

Ante un TCE, lo primero que debe hacerse es llamar al servicio local de urgencias o directamente al 112. Los síntomas de alarma que deben llamar especialmente la atención sobre un traumatismo que puede complicarse son la somnolencia, un posible comportamiento anormal, un intenso dolor de cabeza o rigidez de la nuca, la alteración de las pupilas -siendo una diferente de la otra o de tamaño exagerdamente grande, incapacidad para mover un brazo o una pierna, la pérdida del conocimiento o la existencia de vómitos, sobre todo de forma brusca.

Los posibles tratamientos ante un TCE van desde la mera observación domiciliaria o en el hospital durante 24 o 48 horas -si se trata de un traumatismo leve- hasta tener que realizar una operación quirúrgica urgente si se evidencia una fractura craneal, como ha sido el caso de Ángel Nieto.

Las operaciones de fractura craneal se producen cuando existe una hemorragia craneal interna, aunque en ocasiones dicha operación puede realizarse más adelante y no de urgencia. De hecho, identificar correctamente el problema puede ser definitivo para un buen pronóstico a largo plazo.

El pronóstico para casos como el de Ángel Nieto

Según algunos estudios, tres de cada 10 pacientes graves fallecen en la Unidad de Cuidados Intensivos, un riesgo que aumenta exponencialmente con la edad de los sujetos. Por otro lado, destaca el hecho de que aquellos casos causados por accidentes de tráfico son los que menos riesgo de mortalidad presentan.

Respecto al pronóstico a largo plazo tras superar un accidente de estas características, algunos estudios recalcan la importancia de factores tales como la rehabilitación neuropsicológica, la fisioterapia y psicoterapia y el apoyo en el ambiente familiar y laboral para poder volver a la normalidad.

La atención rápida y la decisión de realizar una operación quirúrgica urgente ha demostrado ser esencial para un buen pronóstico. Asimismo, tanto la severidad de la lesión -en este caso grave, pero no crítica-, como el posible estado de coma inicial también colaboran en dicho pronóstico.