La protuberancia occipital externa es, de sobra, conocida por la ciencia.

La protuberancia occipital externa es, de sobra, conocida por la ciencia.

Investigación

Un ‘cuerno’ por el uso del móvil: la polémica sobre un estudio mal interpretado

El estudio en el que se basó este rumor no tenía por objeto descubrir el origen del "cuerno", sino comparar su tamaño entre distintos sujetos.

Publicada

Noticias relacionadas

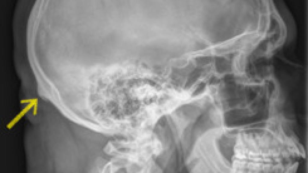
La semana pasada irrumpía en las redes sociales una noticia: por culpa de nuestra relación viciosa con el teléfono móvil y la inclinación de la cabeza que forzamos para mirar la pantalla, el ser humano está desarrollando un "cuerno" en la parte posterior del cráneo. Estas noticias virales invitaban a los lectores a palparse el área donde se encontraba la protuberancia en cuestión. Justo en el lugar en el que la columna vertebral se inserta en el cráneo.

Cuando llevamos nuestras manos hacia esta región, podemos comprobar que es cierto que existe un pequeño saliente. Sin embargo, para nada es novedoso. Se trata de la protuberancia occipital externa, un accidente geográfico de nuestra anatomía craneal bien conocido por los científicos. Se trata del punto en el que se inserta parte de los músculos de la espalda, el ligamento nucal y el trapecio, en el cráneo.

Las webs que publicaron este misterio se remitían a un artículo de la BBC titulado "Cómo la vida moderna transforma el esqueleto humano". En él, se explica que los huesos no son estructuras pétreas que se mantienen intactas durante la vida del individuo, sino que se moldean dependiendo de la actividad que realiza. Entre los ejemplos que citaban en los que se producía este fenómeno, hicieron referencia a un estudio sobre el tamaño de la protuberancia occipital externa.

En el año 2016, David Shahar, un investigador de la Universidad de Sunshine Coast,  estudió junto a un equipo de quiroprácticos una serie de radiografías de varios pacientes entre los 18 y los 86 años de edad. Destacaron que quienes tenían entre 18 y 30 años mostraron una protuberancia mayor. Los científicos lo asociaron rápidamente al uso de móviles y de tablets. 

Según esta teoría, cuando inclinamos hacia delante la cabeza, que tiene un peso medio de 4,5 kilogramos, los músculos que conectan la espalda a la cabeza se tensan. La protuberancia del cráneo generaría nuevas capas de tejido óseo con el objetivo de resistir la tensión y, de esta manera, aumentaría de tamaño. Con estos datos, muchas webs hicieron circular el rumor de que se trataba de un paso más en la evolución del ser humano.

Un estudio sacado de contexto

La web Maldita Ciencia ha analizado este fenómeno viral y ha desmentido que el crecimiento de la protuberancia se produzca por la evolución. En primer lugar, plantean que el estudio no se realizó con el fin de descubrir el origen de esta región craneal, sino con el de estudiar sus diferencias entre sexos y edades. La universidad que publicó el estudio sugirió que el uso de móviles y tablets podría estar detrás del fenómeno, pero, en ningún caso, que fuese un hecho comprobado.

En el artículo de la BBC también se explica que, obviamente, tensar la cabeza hacia delante no es un gesto que se haga exclusivamente al mirar el móvil. En este sentido, jugar a juegos de mesa o hacer manualidades también debería de impactar en el cráneo de la misma manera. Por ello, han diferenciado dos términos: adaptarse y evolucionar. Es decir, reconocen que el esqueleto de una persona en concreto puede cambiar a lo largo de su vida según su estilo de vida, pero una especie en su conjunto no.

La evolución de una especie no se puede observar en la vida de un individuo, sino a través de varias generaciones. Además, Maldita Ciencia ha explicado que la muestra del estudio es muy reducida para explicar el origen del engrosamiento de la protuberancia. Según pudo saber la página web, el estudio contó con 218 sujetos, únicamente. El tamaño de estas protuberancias tampoco les pareció reseñable: entre 10 y 30 milímetros.

[Más información: No sobrevive el más fuerte, sino el más vago: 'adiós' a la teoría de la evolución]