La técnica de edición de ADN podría ayudar a curar enfermedades.

La técnica de edición de ADN podría ayudar a curar enfermedades. Nature

Salud Genética

Así es la nueva técnica que 'borra' el ADN defectuoso del 90% de las enfermedades genéticas

El método expande los tipos de ediciones genómicas hasta un nivel de precisión no alcanzado hasta la fecha. 

E.E./ Agencias
Publicada

Noticias relacionadas

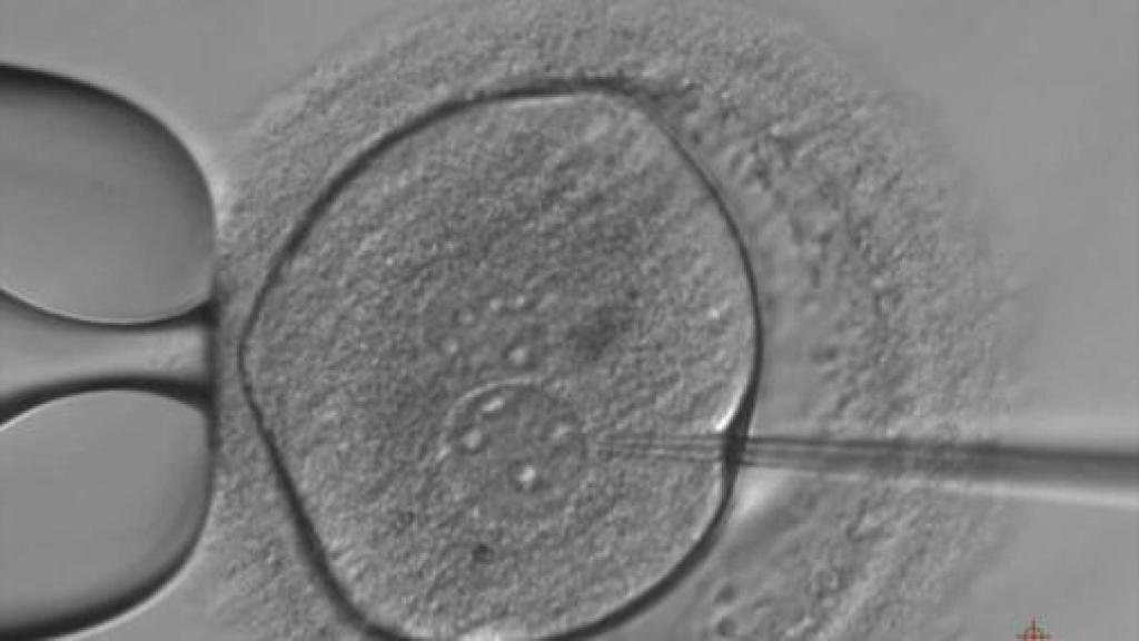
Científicos del Instituto Broad en Cambridge (EEUU) han desarrollado una nueva y versátil tecnología que expande los tipos de ediciones genómicas que se pueden realizar y evita roturas de ADN de doble cadena, según un estudio publicado este lunes en la revista Nature.

La técnica de edición genómica, llamada "edición principal", podría corregir alrededor del 89 % de las variantes genéticas humanas asociadas con enfermedades.

Los expertos señalaron que a pesar de los avances recientes en tecnologías de edición del genoma, la mayoría de las aproximadamente 75.000 variantes humanas que se conocen, no se pueden corregir de manera eficiente.

Las limitaciones del famoso sistema de edición del genoma CRISPR-Cas9 incluyen realizar rupturas de doble cadena en el ADN, lo que conduce a mezclas incontroladas de inserciones y deleciones (pequeñas pérdidas de material genético).

Además, ese modelo cuenta con baja eficiencia a la hora de corregir con precisión la mayoría de los tipos de mutaciones.

El profesor David Liu, del Broad Institute -un organismo afiliado a la Universidad de Harvard y al Instituto Tecnológico de Massachusetts (MIT)-, y su equipo dieron con esta nueva técnica que permite corregir directamente mutaciones puntuales específicas, inserciones y eliminaciones precisas, sin que haya roturas de ADN de doble cadena.

Los científicos realizaron más de 175 ediciones en células humanas, incluida la corrección de las causas genéticas primarias de la enfermedad de células falciformes y la enfermedad rara de Tay-Sachs, y concluyeron que la técnica es más eficiente, produce menos subproductos y tiene una mayor precisión que la edición tradicional de Cas9.

Destacaron, sin embargo, que es necesaria una mayor investigación para comprender los efectos de esta nueva técnica de modificación genética.