El brazo bien fortalecido del paciente y el absceso provocado en el lugar de las inyecciones.

El brazo bien fortalecido del paciente y el absceso provocado en el lugar de las inyecciones. Dunne et al (Irish Medical Journal)

Salud Fisiología

Un joven se inyecta su semen en el brazo para intentar curar su dolor de espalda

Es el primer caso documentado de una persona tratándose con inyecciones de esperma, y sus médicos no se explican cómo se le ocurrió la idea.

Dime de qué color es tu semen y te diré qué enfermedad tienes

El semen, santuario de virus: el hombre expulsa hasta 27 tipos al eyacular

P. F.
Publicada

Noticias relacionadas

En tiempo de desinformación masiva en las redes, resulta vital discriminar qué consejos de salud son rigurosos y cuáles se basan en una pseudociencia nociva: ni el ajo es curativo, ni los tíquets de la compra gastados causan cáncer, ni las 'Flores de Bach' tienen mayor valor terapéutico que el agua. Pero hay casos que rebasan lo insólito: la técnica de 'automedicación' descrita tras analizar el caso de un joven irlandés es la primera en su especie. Y con motivo.

El artículo ha sido publicado en el Irish Medical Journal, y ya desde el título invita a leerlo con una sonrisa: "Semenly" Harmless Back Pain: An Unusual Presentation of a Subcutaneous Abscess. Viene a ser un juego de palabras sobre una presentación "inusual" para un absceso subcutáneo a partir de un dolor de espalda que "semen-jaba" no tener mucha importancia. El trío de médicos con retranca que lo firma trabaja en el Adelaide and Meath Hospital de Tallaght, Dublin Sur.

Su paciente, un hombre de 33 años, había acudido a consulta para tratar el dolor que sufría en la zona renal después de levantar un objeto pesado tres días antes. El joven presentaba un historial crónico de dolores en la espalda baja de tipo no neuropático. La sorpresa para los especialistas vino cuando, durante la exploración de sus extremidades superiores, se toparon con una lesión papuloeritematosa en su antebrazo.

¿Qué había provocado la hinchazón? A las preguntas de los médicos, el hombre confesó que se había estado inyectando su propio semen mediante una aguja hipodérmica que había comprado online como método autoprescrito contra el dolor. Se había practicado una inyección mensual durante el último año y medio, pero estaba sufriendo tanto en aquél momento que había decidido forzar la "dosis" y practicarse tres pinchazos, intravasculares e intramusculares.

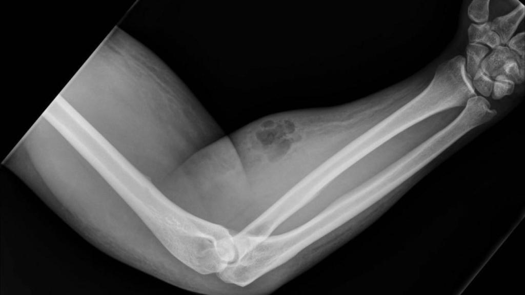
La radiografía del bulto en el brazo del paciente. Dunne et al (Irish Medical Journal)

La radiografía del bulto en el brazo del paciente. Dunne et al (Irish Medical Journal)

La infiltración de líquido seminal le había provocado una infección bacteriana que fue tratada con antibióticos. Además, los repetidos pinchazos buscado la vena habían provocado edemas llenos de fluido, hinchazón e inflamación, y la dermis exterior presentaba dureza. Durante la estancia hospitalaria, su dolor de espalda remitió, explican los autores, y el paciente optó por marcharse a casa declinando la posibilidad de que le drenasen mediante una incisión su particular absceso.

El caso había dejado a los médicos estupefactos, y recurrieron a Internet para indagar sobre qué tipo de teorías habrían inspirado al individuo para decidir que todo aquello era una buena idea. Pero no encontraron nada: bucear en foros les reportó historias de inyecciones con productos tóxicos como gasolina, carbón o mercurio, pero no con fines terapéuticos, sino en discusiones sobre métodos de suicidio. Y los únicos ensayos científicos con "inyecciones de semen" se remontan a los años 40, como experimentos sobre fertilidad en conejas

El móvil tras el curioso caso quedará para siempre en el misterio, y los autores solo pueden concluir alertando sobre los peligros de la venipuntura en manos de personas sin la cualificación adecuada.