Ecografía 3D: un sistema pionero para identificar el riesgo cardiovascular

Ecografía 3D: un sistema pionero para identificar el riesgo cardiovascular

Con la colaboración de:

Salud MARCAS Ñ

Ecografía 3D: un sistema pionero para identificar el riesgo cardiovascular en HM CIEC

Esta técnica permite explorar las principales arterias, detectando en segundos la severidad y extensión de las placas de colesterol que podrían implicar riesgo de infarto o ictus.

Publicada

Es la primera causa de muerte en el mundo y en España. Las enfermedades cardiovasculares representaron el año pasado casi el 30% de las defunciones en nuestro país, según el INE, fundamentalmente por el desarrollo de infarto de miocardio o ictus cerebral. En aquellos pacientes que sufren eventos no mortales, les condiciona importantes secuelas y limitaciones en su calidad de vida. El dato más esperanzador, según la evidencia científica, es que una prevención eficaz, que elimine conductas y factores de riesgo para la salud, haría posible evitar al menos un 80% de las enfermedades cardiovasculares.

Ecografía 3D: un sistema pionero para identificar el riesgo cardiovascular

Tradicionalmente el riesgo de padecer un evento cardiovascular, infarto o ictus se valora mediante unas escalas de riesgo que tienen en cuenta parámetros como el ser fumador, nuestros niveles de colesterol, ser hipertenso o ser diabético. Éstos son los que se conocen como los factores de riesgo tradicionales para desarrollar enfermedades cardiovasculares. Hoy en día, este método se ha mejorado gracias al desarrollo de las técnicas de imagen no invasiva que permiten detectar la carga de aterosclerosis o, lo que es lo mismo, los depósitos de colesterol en las arterias, que son la consecuencia directa del efecto de los factores de riesgo sobre nuestro sistema cardiovascular. Hasta ahora, los pacientes se sometían a un TAC de corazón para valorar el calcio coronario o se realizaban una ecografía 2D para estudiar su riesgo cardiovascular. Pero recientemente se ha desarrollado una nueva tecnología, la ecografía vascular 3D, que permite observar las placas de colesterol directamente, desde todos los ejes y determinar de una manera más precisa el daño producido en las arterias.

El Centro Integral de Enfermedades Cardiovasculares (HM CIEC), ubicado en el Hospital Universitario HM Montepríncipe, es pionero en la implantación de esta tecnología, siendo el primer centro en España, y de los primeros en el mundo en aplicarla al paciente, trasladándola desde el ámbito de la investigación más puntera en riesgo cardiovascular a la clínica. Desde hace unos meses esta tecnología se ofrece al público general en la consulta de Cardioprevención 3D de HM CIEC, habiendo superado ya el centenar de pacientes. 

La valoración tridimensional de las arterias con la nueva ecografía proporciona una representación más realista de la extensión de los depósitos de colesterol en las arterias superficiales de nuestro cuerpo, como las carótidas y las femorales. Sin ninguna contraindicación para su realización, ahora es posible obtener una imagen precisa gracias a la medición del volumen de las placas de aterosclerosis. Con las técnicas de imagen de ultrasonidos tradicionales bidimensionales es imposible tomar medida del volumen de aterosclerosis, que "es el mejor reflejo del daño real que causan nuestros hábitos de vida y factores de riesgo en las arterias y por tanto del riesgo del individuo de desarrollar un problema cardiovascular en el futuro", explica la Dra. Beatriz López Melgar, responsable de la consulta de Cardioprevención 3D de HM CIEC. 

El TAC coronario "evalúa indirectamente la presencia y extensión de placas de aterosclerosis a nivel de las arterias del corazón valorando la presencia de calcio mediante la aplicación de una pequeña dosis de radiación", siendo esta su mayor desventaja, según la Dra. Melgar. Frente a éste, las diferencias parecen evidentes. La ecografía 3D se hace en la misma consulta, no necesita preparación y no lleva radiación como el TAC de corazón, "de manera que podemos repetirla tantas veces como sea necesario, pudiendo hacer un seguimiento totalmente individualizado, y a pie de cama del paciente, haciéndole tomar conciencia de su salud cardiovascular, lo que sin duda ayuda para conseguir un cambio de hábitos de vida, y si ven mejoría en el seguimiento, les anima a continuar con la prevención", cuenta la cardióloga.

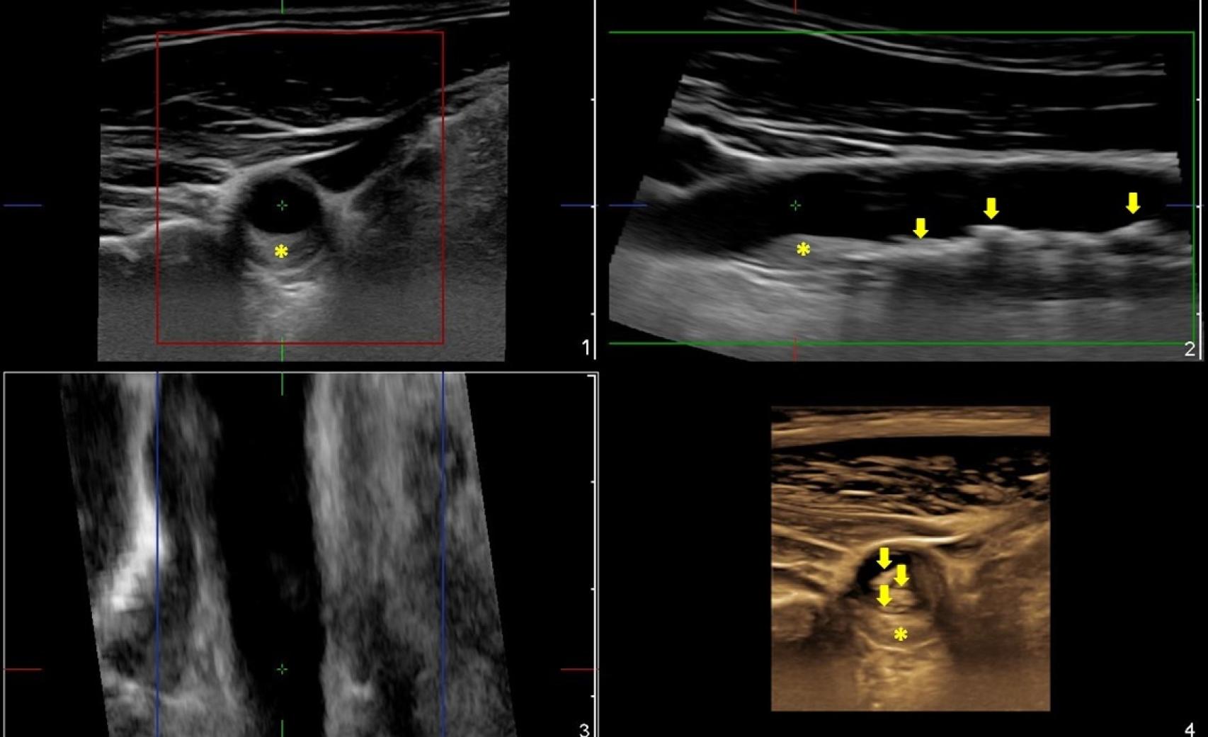
En este caso se aprecia una extensa afectación por aterosclerosis observándose varias lesiones, una primera placa (Foto 1) que ocasiona en mayor medida la obstrucción de la luz del vaso, y varias placas indicadas con flechas (Foto 2) que, no siendo obstructivas, son las más extensas. En la imagen en 3D (Foto 4) se pone de manifiesto cómo podemos valorar la presencia, disposición, extensión y grado de obstrucción de todas las placas, lo que nos da una idea más precisa del daño por aterosclerosis en un único estudio. (Valoración de la Dra. Beatriz López Melgar).

En este caso se aprecia una extensa afectación por aterosclerosis observándose varias lesiones, una primera placa (Foto 1) que ocasiona en mayor medida la obstrucción de la luz del vaso, y varias placas indicadas con flechas (Foto 2) que, no siendo obstructivas, son las más extensas. En la imagen en 3D (Foto 4) se pone de manifiesto cómo podemos valorar la presencia, disposición, extensión y grado de obstrucción de todas las placas, lo que nos da una idea más precisa del daño por aterosclerosis en un único estudio. (Valoración de la Dra. Beatriz López Melgar). HM Hospitales

Otra novedad que implica la ecografía vascular 3D aplicada a la prevención cardiovascular son las zonas de exploraciónTradicionalmente se han examinado las arterias carótidas, situadas en el cuello, pero la doctora Melgar explica que han añadido las arterias femorales (ingle) a las localizaciones estudiadas para advertir el riesgo cardiovascular. "El explorar las femorales para prevenir la enfermedad cardiovascular se está aplicando por primera vez en este hospital y es gracias a un estudio español, el estudio PESA del Centro Nacional de Investigaciones Cardiovasculares (CNIC), en el que hemos participado como investigadores cardiólogos de HM Hospitales".

La prevención, clave en las enfermedades cardiovasculares

La llegada de la técnica de ecografía vascular 3D ha cambiado el paradigma en el estudio y observación de las arterias, pero, sobre todo, ha supuesto un significativo avance en el ámbito de la prevención. Según las Sociedades Europea y Española de Cardiología (ESC y SEC), el 80% de las muertes por enfermedad cardiovascular son potencialmente prevenibles. Para lograrlo, es necesario detectar las placas de aterosclerosis a tiempo, antes de que supongan un peligro serio para el paciente.

La consulta de Cardioprevención 3D situada en HM CIEC, en el Hospital Universitario HM Montepríncipe, es una 'consulta preventiva' , a la que pueden acudir pacientes con algún factor de riesgo, si tienen antecedentes familiares de enfermedad cardiovascular precoz o que estén preocupados por desarrollar una enfermedad cardiovascular en el futuroTambién es recomendable hacer un estudio de prevención "en varones por encima de los 40 años y en mujeres por encima de los 50 o tras la menopausia” señala la Dra. Melgar. 

La Dra. Beatriz López Melgar en la consulta de Cardioprevención 3D de  HM CIEC.

La Dra. Beatriz López Melgar en la consulta de Cardioprevención 3D de HM CIEC. Silvia P. Cabeza

Las enfermedades cardiovasculares "no duelen" porque las placas de aterosclerosis se van formando de manera completamente asintomática. Por esta razón son tan importantes las medidas preventivas. El momento ideal de la consulta de prevención sería "no esperar a encontrarnos placas que obstruyan la arteria sino que el objetivo es detectar las placas al inicio”, en el momento en el que la prevención es realmente eficaz. "El riesgo cardiovascular no es puntual y estos estudios de prevención se deben reevaluar con cierta periodicidad, porque con el tiempo el daño de los factores de riesgo se va acumulando", añade la cardióloga.

Tras la evaluación en consulta con la técnica de ecografía 3D, al paciente se le aplican los tratamientos habituales establecidos en Prevención Primaria. "Intensificar medidas dietéticas, hábitos de vida saludables, dejar el tabaco, hacer más deporte… Cuando son casos donde ya hay cierto grado de aterosclerosis, los tratamos con una medicación que regula los niveles de colesterol", detalla la cardióloga. Esta medicación son las llamadas estatinas, de las que Melgar destaca que "juegan un papel fundamental en la prevención de la gran epidemia de las enfermedades cardiovasculares".

HM Hospitales ha sido uno de los primeros grupos hospitalarios en Europa en incorporar este tipo de tecnología de ecografía vascular 3D. HM CIEC del Hospital Universitario HM Montepríncipe, en concreto, es el primero en España en ofrecer la técnica de imagen tridimensional vascular al público general, con el objetivo seguir liderando la investigación y prevención de enfermedades cardiovasculares.