Prueba de imagen que revela la existencia de la lentilla perdida. BMJ Case Reports
Una mujer encuentra una lentilla en su ojo 28 años después de perderla
La mujer de Reino Unido acudió al médico por una lesión que sospechaba reciente.
El extraño caso de la chica que se reventó la cuenca del ojo por sonarse demasiado fuerte.
El extraño caso del niño de cinco años cuya piel se está volviendo de piedra.
En algunas ocasiones se puede ser plenamente consciente de que ocurre algo extraño en alguna zona corporal, como las fosas nasales o las vías auditivas, donde pueden llegar a encontrarse objetos tan extraños como lagartos en el oído, hasta larvas de mosca o bolígrafos.
Por otro lado están los ojos, los cuales suelen ser sensibles al mínimo contacto con una mota de polvo o un mosquito, por lo que es poco habitual poseer un cuerpo extraño en dicha localización sin percatarse: picor, escozor, sensación de arenilla o de que "hay algo dentro" son síntomas típicos, llegando a casos extremadamente raros como el del adolescente que llegó a detectarse gusanos dentro del ojo.
Ese no fue el caso de una mujer de 42 años procedente de Reino Unido, cuya extraña situación se ha publicado recientemente en el BMJ Case Reports: tras 28 años, y por casualidad, le detectaron una lente de contacto incrustada dentro de su ojo izquierdo.
La casualidad de la lente de contacto
El caso es que esta mujer, cuando solo tenía 14 años, se encontraba jugando a bádminton y sufrió un golpe en su ojo izquierdo, tras el cuál "perdió" la lente de contacto que usaba en ese momento y jamás la encontró. Tras esta situación desafortunada, dejó de usar lentes de contacto.
Tras el paso de 28 años, decidió acudir al oftalmólogo por otro problema que inicialmente pensaba que era totalmente independiente al incidente sucedido tres décadas antes: sufría un hinchazón del párpado superior izquierdo, el cual se encontraba caído desde hacía seis meses, dando lugar a un abultamiento debajo de la piel.
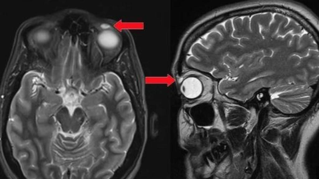
Cuando se le realizó una resonancia magnética, los médicos detectaron un quiste de 8 por 4 por 6 milímetros bien definido, justo por encima del ojo izquierdo, que requirió extracción quirúrgica. La sorpresa llegó al abrir dicho quiste tras la intervención: había una lente de contacto dura pero muy frágil en su interior.
Según los oftalmólogos, la lente de contacto pudo migrar hacia el párpado izquierdo tras sufrir el golpe, y permanecer allí casi tres décadas sin causar mayores problemas. Aún así, afirman, sigue siendo peculiar que durante tanto tiempo dicho cuerpo extraño no diese lugar a ningún otro síntoma con el paso de los años. Lo más habitual habría sido una reacción inflamatoria relativamente rápida, tras el paso de los días, pero no tras el paso de varias décadas.
Según la paciente, su párpado izquierdo había estado caído durante mucho tiempo, pero jamás le preocupó en exceso. Dicha caída pudo estar provocada por la lente de contacto, pero no consultó anteriormente por este motivo.