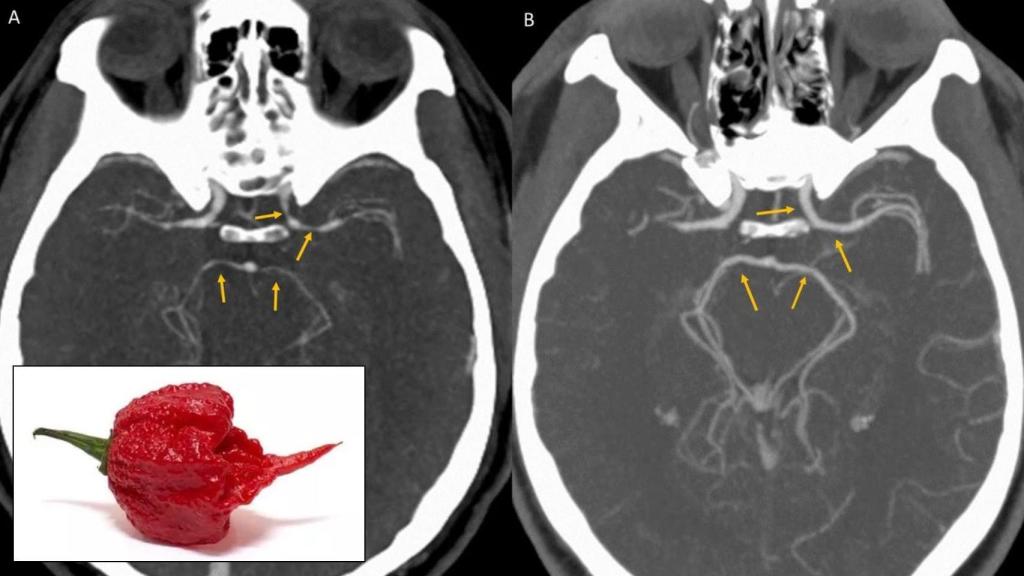
Angiografía que muestra la contracción de las arterias del paciente; en primer plano, el pimiento culpable.

Angiografía que muestra la contracción de las arterias del paciente; en primer plano, el pimiento culpable. BMJ case reports.

Salud Intoxicaciones

El hombre que sufrió terribles cefaleas tras comerse el pimiento más picante por una apuesta

El paciente acudió a urgencias aquejado de 'cefaleas en trueno' tras comerse un único Carolina Reaper, que provocó el estrechamiento de su riego cerebral.

Publicada

Noticias relacionadas

Por muy tolerante que sea una persona al sabor del picante, algunas variedades cultivadas para rebasar la tolerancia de las papilas gustativas pueden desencadenar consecuencias nocivas para la salud. Tal es el caso del Carolina Reaper, que presume de ostentar el récord Guiness al chile más picante del mundo.

Tal es su nivel de picor que es imposible disfrutarlo con la comida, por lo que quiénes lo consumen lo suelen hacer por apuestas o competiciones. Es lo que ocurrió en el  caso de un hombre de Nueva York que recientemente tuvo que acudir a urgencias a causa de un terrible dolor de cabeza que se inició después de ingerir uno de estos pimientos.

Su caso ha sido descrito en BMJ Reports y, si bien finalmente ha quedado en un susto, debería servir para concienciar a la población sobre los peligros de jugar con este tipo de alimentos que, a pesar de parecer inofensivos, pueden jugarnos más de una mala pasada.

El reto de comer el pimiento más picante del mundo.

Cuidado con el picante

El picor característico de los pimientos lo produce la capsaicina, un alcaloide vegetal cuya función evolutiva es ahuyentar a los herbívoros que intentan alimentarse de ellos.

No todos los pimientos tienen la misma cantidad de esta sustancia: unos pican y otros non. Este nivel de picor se mide a través de la escala Scoville, que empieza en el cero de los pimientos verdes y termina en las 16.000.000 unidades de la capsaicina pura, seguida de los 5.300.000 de un spray de pimienta policial de los que se emplean para neutralizar a un agresor.

La escala se actualiza anualmente mientras las marcas compiten por seducir a los locos del picante con el primer puerto. Así, el Carolina Reaper con 1.641.000 ha recuperado el trono y el premio Guiness como "chile superpicante" por excelencia. En laboratorio, informa su productor, se han medido pimientos de valores superiores a las 2.189.000 unidades.

El paciente de 34 años aceptó el reto e ingirió uno de los pimientos. Ganó la apuesta, pero también consiguió fue un terrible dolor de cabeza y cuello que lo llevó a acudir a urgencias en busca de ayuda.

Una vez allí sus dolores se diagnosticaron como cefaleas en trueno, un tipo concreto de dolor de cabeza muy fuerte y repentino que va y viene de forma punzante. En busca de su origen, los médicos comenzaron a realizarle diversas pruebas neurológicas, pero en un principio no lograron encontrar nada anormal.

Sin embargo, al analizar más profundamente los resultados de la tomografía computerizada observaron que varios vasos sanguíneos del cerebro se habían estrechado notablemente. Se trata de una afección conocida como síndrome de vasoconstricción reversible, que puede ser provocada tanto por el consumo de medicación como por estupefacientes.

Ya se había asociado el consumo de sustancias muy picantes a la constricción repentina de la arteria coronaria y ataques cardíacos, por lo que parecía muy posible que ésta fuera la causa. Bastó con que pasara un tiempo desde el consumo del pimiento para que todo volviera a la normalidad, como demostraron las pruebas que se le repitieron cinco semanas después.

En este caso el atrevimiento del paciente quedó en poco más que una anécdota que contar, pero podría haber sido mucho más grave. Y es que, por mucho dinero u orgullo que nos juguemos,  las apuestas por lo general nunca son buenas, especialmente si se pone en peligro la salud.