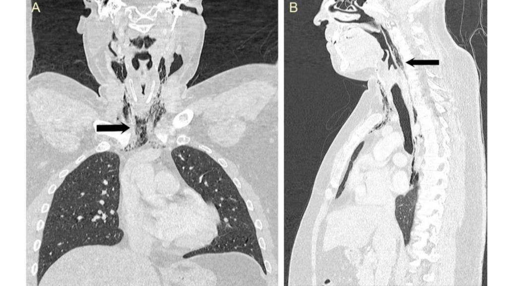
Las lesiones y la entrada de aire en la garganta del paciente.

Las lesiones y la entrada de aire en la garganta del paciente. Yang W, et al. BMJ Case Rep 2018.

Salud Enfermedades respiratorias

El hombre que se rompió la garganta por estornudar con educación

El desafortunado paciente se tapó la boca y la nariz para tratar de contenerse y lo que consiguió fue desgarrarse la laringe.

Publicada

Noticias relacionadas

Cuenta la Odisea que cuando Penélope predijo que su esposo Ulises regresaría para dar muerte a los pretendientes que la acosaban, su hijo Telémaco "estornudó tan fuerte que todo el Palacio retumbó horrendamente". Y ella rió, porque de este modo los dioses confirmaban su sangriento vaticinio de venganza. Para los antiguos los estornudos eran la expresión de la voluntad de una fuerza superior: imprevisibles e incontrolables, no quedaba otra que someterse o sufrir un funesto destino.

El Ulises moderno que vuelve a casa en un vagón de metro atestado de gente no tiene ya la excusa para permitirse estornudar a pleno pulmón. Ahora sabemos que es un mecanismo por el cual las fosas nasales desalojan agentes irritantes y expulsan microbios a una velocidad que puede alcanzar los 150 km/h y a distancias de hasta ocho metros. La fuerza con la que se contrae nuestro cuerpo y la potencia del estornudo ha llegado a provocar costillas rotas, aortas desgarradas y - en al menos un caso - un implante dental que salió volando por la nariz.

Con todo, la mejor solución para la salud y el decoro es la de estornudar en un pañuelo. Tratar de contener por completo el estornudo excede nuestras humanas capacidades, como ya intuían los antiguos griegos. Hasta hace poco se creía que los daños se limitaban a micro-roturas en los huesos de la zona frontal del cráneo, capilares reventados o tímpanos fisurados, una serie de lesiones que tienden a repararse solas. El estudio que publica BMJ Case Reports viene acompañado de un aviso médico: aguantarte un estornudo puede romperte la garganta.

El desafortunado protagonista del caso es un hombre de 34 años que acudió al Hospital Universitario de Leceister, Reino Unido, tras intentar "tragarse" un estornudo. Por motivos que permanecen ignotos para preservar su confidencialidad, se tapó la nariz y la boca al momento de estornudar. En ese momento sintió una sensación de "reventón" (popping) en el cuello, que a continuación comenzó a hincharse. El paciente empezó a sufrir un agudo dolor de garganta que le impedía tragar y una ronquera severa que apenas le permitía hablar.

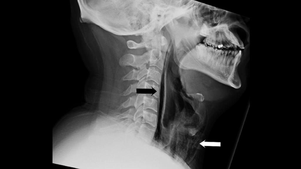
La inspección médica reveló un crepitar en su respiración, un sonido burbujeante de su cuello a su caja torácica que indicó a los especialistas que se había infiltrado aire en su tejido y músculos del pecho. Una tomografía confirmó la presencia de enfisemas - bolsas de aire - en su cuello, en las zonas de la tráquea y la laringe. También se observó la presencia de neumomediastino, la infiltración de aire en el mediastino, la región torácica entre ambos pulmones. 

El equipo de cirugía oral y maxilofacial dirigido por la doctora Wanding Yang determinó que se había desgarrado la faringe por bloquearse las vías aéreas al estornudar a la altura del seno piriforme. Esta ruptura de la parte posterior de la garganta ya había sido observada como consecuencia de un trauma violento provocado por tos intensa, vómito o náuseas, pero es la primera vez que se describe como efecto de un estornudo. La situación era grave: el paciente corría el riesgo de contraer una infección tanto en el cuello como en el tórax (mediastinitis).

Los enfisemas localizados en el cuello y pecho del paciente.

Los enfisemas localizados en el cuello y pecho del paciente. Yang W, et al. BMJ Case Rep 2018.

Juego de palabras incluido

El tratamiento prescrito fue de tipo conservador. El hombre fue alimentado mediante una sonda nasogástrica y se le suministraron antibióticos por vía intravenosa. A los siete días el enfisema se había reducido como para poder pasar a una dieta blanda y poco después recibía el alta, con la indicación de "nunca obstruir ambas vías durante el estornudo". A los dos meses, los síntomas perniciosos habían remitido por completo.

Los autores del estudio señalan la dificultad de diagnosticar un caso tan insólito más allá del dolor local del que se quejó el paciente, y apuntan a que la clave estuvo en el sonido de burbujas explotando, el "popping", que escucharon al explorarle. De hecho el título de su estudio bromea con el eslógan de unos famosos cereales de la marca Kellogg's, los Rice Krispies, sobre el sonido que hacen cuando se les moja con la leche: Snap, crackle and pop.

La doctora Yang recupera la seriedad para prevenir contra la idea de bombero de tratar de aguantarse los estornudos. "Contener el estornudo bloqueando nariz y boca es una maniobra peligrosa, y debe ser evitada" - insisten. "Puede provocar numerosas complicaciones como aire atrapado entre los pulmones, perforación de la membrana timpánica o un aneurisma cerebral".