Si comes 'nuggets', deberías saber de qué están hechos.

Si comes 'nuggets', deberías saber de qué están hechos. Pixabay

Nutrición

Radiografía de los ‘nuggets’: ¿de verdad es pollo todo lo que reluce?

La polémica se desató en Estados Unidos cuando un estudio afirmó que menos de la mitad de su contenido era carne de pollo.

José Manuel Blanco
Publicada

Noticias relacionadas

Los nuggets de pollo son uno de los alimentos más queridos por algunos pequeños, y una de las soluciones más fáciles para almorzar o cenar. Sus peculiares características y la forma en la que se cocinan -fritos con abundante aceite- hacen que resulten apetitosos para casi todos los públicos. Sin embargo, muchos se preguntan cuáles son sus componentes y si sus valores nutricionales son los adecuados.

Un estudio llevado a cabo en 2013 levantó ampollas en el sector de la comida rápida y de los productos avícolas. Se publicó en American Journal of Medicine y explicó que, a pesar de que este producto se ofrecía en el mercado como carne rebozada, menos del 50% de su composición lo era.

El motivo que llevó a los científicos a implicarse en este proyecto fue la alta tasa de obesidad que desde hace años azota a la población de Estados Unidos en general y a la del estado de Misisipi, en particular. En esta región, la ley prohibía las restricciones sobre los establecimientos de restauración, lo que llenó sus calles de todo tipo de comida rápida. Esta situación alertó a Richar D. Shazon y Steven Bigler, que decidieron averiguar de qué estaban hechos en realidad uno de los productos más populares que allí se vendían: los nuggets.

Al azar, seleccionaron dos unidades de otros tantos establecimientos de comida rápida y les realizaron una autopsia. La conclusión a la que llegaron era que publicitarlos como nuggets de carne de pollo era, como mínimo, engañoso.

Unos hallazgos sorprendentes

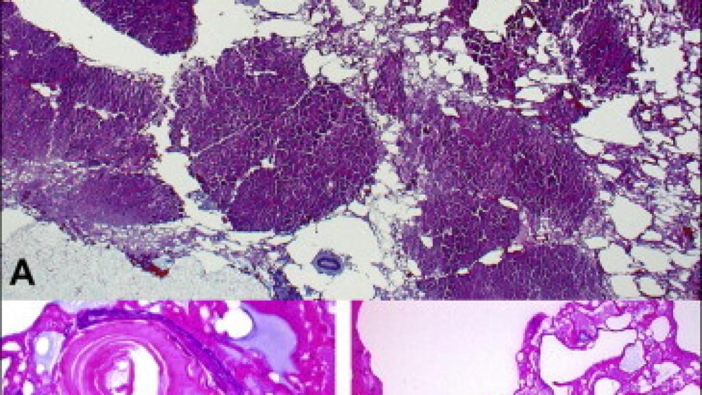
Unos científicos se preguntaron de qué estaban hechos los 'nuggets'. El hallazgo no les gustó.

Unos científicos se preguntaron de qué estaban hechos los 'nuggets'. El hallazgo no les gustó. The American Journal of Medicine

Lo lógico en un producto compuesto en su mayor parte de carne de pollo habría sido encontrar tejido muscular, que es a lo que nos referimos con el término carne. Sin embargo, los hallazgos en ambas piezas distaban mucho de esta suposición.

Según la información publicada, en la primera pieza analizada solo la mitad era músculo, mientras que el otro 50% era una mezcla de grasa, vasos sanguíneos, nervios y casquería. Los valores nutricionales de esta pieza eran los siguientes: 56% de grasa, 25% de carbohidratos y 19% de proteínas.

En la segunda, el panorama no mejoró, ya que solo un 40% era músculo, y el 60% restante se dividía entre grasa, cartílago y pedazos de hueso. Una composición que traducida a valores nutricionales significaba un 58% de grasa, 24% de carbohidratos y 18% de proteínas

Obviamente, el National Chicken Council, entidad representante de las empresas del sector, protestó. Argumentó que extrapolar el resultado del análisis de dos piezas de un producto del que cada día se venden millones, era, cuanto menos, poco fiable. También señaló que todos los establecimientos facilitaban la información necesaria a sus clientes.

Por su parte, los investigadores aceptaron los límites de su estudio, pero respondieron que no era menos cierto que, de los dos nuggets analizados, ninguno de ellos era lo que cabría esperar, tanto en composición como en valores nutricionales. De hecho, concluyeron su estudio afirmando que los nuggets eran "fuente pobre de proteínas" con "un alto contenido de grasa" y que los profesionales médicos deberían "informar a los pacientes sobre el limitado valor nutricional de muchos alimentos procesados, incluido este producto".

En los supermercados españoles

En nuestro país, los hábitos alimentarios de la población han mutado de forma sorprendente desde hace algunas décadas. Entre la dieta mediterránea y los platos de cuchara, se han colado los productos procesados y la comida rápida al más puro estilo estadounidense. Unos productos que, si bien se adaptan a nuestra moderna y vertiginosa forma de vida, dejan mucho que desear desde un punto de vista gastronómico y nutricional.

Alimentos como los nuggets se adquieren en establecimientos de comida rápida, pero también en grandes superficies y en tiendas de barrio, y suponen una alternativa barata y rápida para las familias. Por eso, queremos conocer la realidad de este polémico producto en el mercado español.

Para ello, hemos tomado dos marcas al azar, de las que pueden adquirirse en cualquier supermercado. Hemos mirado la información que ofrece el etiquetado para hacernos una idea aproximada de sus características.

En la primera marca, el etiquetado afirma que el 62% del relleno es pollo. El 38% restante consiste en componentes tan variados como copo de patata, pan rallado, harina de trigo y sal, entre otros. El valor nutricional del conjunto por cada 100 gramos es el siguiente: 264 kcal, 13 gramos de grasa, 17 gramos de hidratos de carbono, 11 gramos de proteínas, 2 gramos de fibra alimentaria y 1,2 gramos de sal.

El etiquetado de la segunda marca afirma que el relleno está compuesta por un 69% de carne de pollo. El 31% restante se reparte entre almidón de arroz, almidón de guisante, almidón de patata, proteína de soja y sal, entre otros. El valor nutricional del producto para 100 gramos es el siguiente: 188 kcal, 8,4 gramos de grasa, 15,6 gramos de hidratos de carbono, 11,9 gramos de proteína y 1,23 gramos de sal. Otras marcas mostraron cifras similares, tanto en la composición como en los valores nutricionales.

¿Y qué dicen las autoridades?

Aunque no es un alimento peligroso, no es recomendable su consumo diario.

Aunque no es un alimento peligroso, no es recomendable su consumo diario. Pixabay

Este pequeño experimento, basado en el análisis de dos marcas al azar extraídas de la página web de dos hipermercados cualesquiera, ofrece unos resultados algo diferentes a los que publicaron los científicos de Misisipi. Sin embargo, ello no implica que los valores nutricionales de estos productos sean óptimos. Esta es la opinión de la Agencia Española de Consumo, Seguridad Alimentaria y Nutrición (AECOSAN), que los ha señalado como uno de los alimentos que necesitan mejorar su composición. Por ello, los nuggets se han incluido en el Plan de colaboración para la mejora de la composición de los alimentos y bebidas (2017-2010), en el marco de la estrategia NAOS para promocionar una alimentación saludable.

Este plan involucra a las administraciones públicas y a los profesionales del sector de la alimentación. Uno de los objetivos es reducir la cantidad de sal y de grasas saturadas de algunos productos. En el caso de los nuggets se espera que, antes de 2020, hayan reducido un 10 % su contenido de sal y de grasas saturadas con respecto a 2017. Una meta que, si se logra, hará que estos peculiares alimentos sean, al menos, un poco más saludables.

Como hemos visto, los nuggets son un producto muy peculiar y que muchos pueden consumir pensando que solo están hechos de pollo, pero que, como hemos visto, no es así. La decisión final depende, como siempre, del consumidor. Y para ello, nada mejor que estar bien informado.

[Más información: El pollo de corral no existe: el 'truco' del 'súper' para que pagues más por lo mismo]