Rata topo desnuda (Heterocephalus glaber)
¿Adiós al sueño anticáncer del ratopín rasurado?
Detectan los primeros casos de cáncer espontáneo en esta especie, algo que nunca antes se había documentado. Explicamos las consecuencias.
Noticias relacionadas
- Los cinco cánceres del cáncer
- Ratones que viven más al quitarles las células 'viejas'
- Pásatelo de cine (español) con el test de ciencia y tecnología
- Luz y terapia génica para descifrar el cerebro
- Monos transgénicos que se comportan como autistas
- Detectar el alzheímer en la orina (de ratón)
- Hacia la hormona de la eterna juventud
Nos habíamos acostumbrado a verla como la gran esperanza en la investigación oncológica. Se trata de la rata topo desnuda, también conocida como ratopín rasurado, o por su denominación científica Heterocephalus glaber, un extravagante mamífero africano cuyo metabolismo parecía impermeable a cualquier tipo de cáncer y que, en los últimos años, había protagonizado multitud de titulares, algunos tan arriesgados que incluso lo proclamaban como "el único animal inmune al cáncer".
Sin embargo, un equipo de científicos del Departamento de Medicina comparativa de la Universidad de Washington, en colaboración con zoológicos como el Smithsonian's y el de la ciudad de Brookfield, acaba de anunciar la detección de los primeros casos de cáncer espontáneo en dos ratopines rasurados.
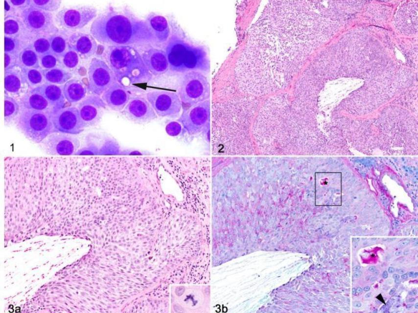
La publicación muestra dos casos diferentes. En el primero, un macho de 22 años de edad presenta un adenocarcinoma en la región axilar; en el segundo, otro ejemplar macho de 20 años, se ha detectado un carcinoma neuroendocrino. Además de estos dos casos, y para completar el artículo, los investigadores también incluyen datos que apuntan a otros tumores proliferativos y lesiones precancerosas diagnosticadas en la colonia de ratas topo de uno de los zoológicos estudiados.
Nunca antes se había detectado cáncer en esta especie, razón por la cual numerosos equipos y laboratorios de todo el mundo la habían convertido en su principal modelo de investigación celular. Por ello, no es de extrañar que este anuncio haya caído como un jarro de agua fría entre todos aquellos investigadores que trabajaban con ejemplares de ratas topo desnuda.
Para entender mejor las consecuencias de esta detección, desde EL ESPAÑOL nos hemos puesto en contacto con el Doctor en Bioquímica Manuel Collado, Jefe del Laboratorio de Células Madre en Cáncer y Envejecimiento del Hospital Universitario de Santiago.
Lo primero que nos recomienda el investigador es que siempre hay que ser prudente con las afirmaciones en ciencia. Collado, que actualmente trabaja con Spalax galili, otra especie de ratones topo también muy resistente, recuerda que cuando oía en los medios que el ratopín era completamente inmune al cáncer intentaba resaltar la poca observación y datos que poseemos realmente sobre este animal.
Adenocarcinoma detectado en el estudio.
En España, por ejemplo, no hay ninguna colonia de esta especie en ningún laboratorio. De hecho, sólo un puñado de instituciones en todo el mundo cuenta con ejemplares a los que estudiar y observar. En zoológicos no se suelen realizar este tipo de observaciones y, para finalizar, casi no tenemos estudios de ejemplares realizados en la naturaleza.
Si no se habían detectado casos de cáncer en estos pequeños mamíferos, y a la luz de los nuevos datos, no era porque los expertos pensaran que eran total y absolutamente resistentes, sino porque no aún no habían sido estudiados en profundidad.
De hecho, y a pesar de los pomposos titulares que presentaban a la rata topo desnuda como un animal resistente al cáncer, apenas hay estudios en el que se haya intentando inducir cáncer en esta especie.
Que hasta ahora no se hubiesen encontrado supuestos de cáncer espontáneo justifica el gran interés que tienen estos roedores para la investigación. Sin embargo, los escasos trabajos utilizando los protocolos de inducción de cáncer en ratas topo desnudas hacen que la prudencia sea la mejor opción.
Por otro lado, y es importante recalcarlo, estos casos de cáncer en los dos ratones topo no invalidan las investigaciones que se están realizando actualmente, puesto que su metabolismo sigue siendo extremadamente eficaz contra el cáncer.
Las especiales características celulares de este animal siguen otorgándole un lugar preferente entre los ejemplos a seguir en la investigación contra el cáncer. Collado recuerda que la rata topo desnuda continúa siendo el referente puesto que, en comparación con otros roedores, es muy longevo (llega a superar los 30 años de vida) y, aún así, la incidencia del cáncer documentada es extremadamente baja.
La mayoría de ratones de laboratorio viven cuatro o cinco veces menos y, al final de sus vidas, aproximadamente la mitad de ellos han desarrollado algún tipo de tumor, lo cual sigue haciendo del ratopín rasurado una rara avis, foco de atención de la ciencia.
La paradoja de este animal es que conduce a esa idea, aparentemente contradictoria, de que la incidencia del cáncer no está tan conectada con la edad. Y esto es realmente apetitoso para muchos investigadores.
Juan Ignacio Pérez, catedrático de Fisiología animal en Universidad del País vasco, destaca también otras rarezas en este mamífero que lo hacen exclusivo y por lo que se seguirán estudiando durante mucho tiempo: es el único mamífero conocido capaz de mantener su temperatura corporal estable de manera ectoterma, es decir, sin conseguir el calor de su propio cuerpo.
Rata topo desnuda.
Las curiosidades no terminan aquí. No sólo es un mamífero social sino que se considera eusocial, con una organización similar a la de las abejas o las hormigas, casos en los que una hembra actúa como reina y se encarga de la reproducción de toda la colonia.
Es cierto que a partir de ahora ya no se podrá decir que la rata topo desnuda es totalmente infalible frente al cáncer, pero su estudio y observación sigue manteniendo un alto interés para cualquier científico.