Mapa al detalle del glioblastoma, el tumor cerebral más común.

Mapa al detalle del glioblastoma, el tumor cerebral más común. María P. Bonmati

Valladolid

Investigadores de la UVa mejoran el diagnóstico y el tratamiento del tumor cerebral maligno

El estudio, financiado por la Asociación Española Contra el Cáncer y el Ministerio de Ciencia e Innovación, ha sido publicado en la revista científica ‘NMR in Biomedicine’

Publicada

Noticias relacionadas

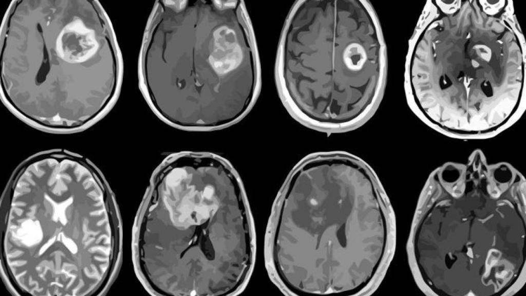
Los investigadores predoctorales de la Universidad de Valladolid (Uva) Elisa Moya y Rafael Navarro han conseguido generar, gracias a la inteligencia artificial, imágenes sintéticas que podrán utilizarse junto a las que se crean en una resonancia magnética, en el diagnóstico y la predicción del tratamiento del glioblastoma, el tipo más común de tumor cerebral maligno.

El trabajo, publicado en la revista científica ‘NMR in Biomedicine’, está financiado por la Asociación Española contra el Cáncer y el Ministerio de Ciencia y Tecnología, y ha sido dirigido por Carlos Alberola, catedrático de Teoría de la Señal y Comunicaciones de la Universidad de Valladolid.

El glioblastoma es uno de los tumores cerebrales más agresivos, con un índice de supervivencia de aproximadamente un 40 por ciento en el primer año después del diagnóstico y un 17 por ciento en el segundo año, por lo que la predicción de su supervivencia resulta clave para el tratamiento eficiente y la planificación de la cirugía.

Esta nueva técnica desarrollada por los investigadores de la UVa, se suma a las que se utilizan actualmente en el diagnóstico, pronóstico y respuesta terapéutica a este cáncer cerebral, utilizando imágenes sintéticas de resonancia magnética y Radiómica. “Las imágenes sintéticas se generan con un sistema de inteligencia artificial que ha sido entrenado a partir de gran cantidad de imágenes reales obtenidas en las máquinas de resonancia magnética. Después utilizamos medidas matemáticas para comparar las imágenes sintéticas con las reales, usándolas también en la técnica de Radiómica, que se encarga de extraer características cuantitativas de las imágenes con las que lograr una herramienta predictiva para este tipo de cáncer cerebral. Esto puede facilitar una mejor planificación de su tratamiento o cirugía”, explicó Elisa Moya.

La generación de estas imágenes permitirá además, reducir la duración de las resonancias magnéticas; reemplazar imágenes artefactadas o de calidad degradada; y generar bases de datos que ayuden al diagnóstico de la enfermedad, tal y como señaló Elisa Moya. A su vez, explicó que “durante la realización de este tipo de pruebas el paciente debe permanecer totalmente inmóvil, lo que para algunas personas, con problemas de claustrofobia o niños, es bastante incómodo. Esta nueva técnica les da un mayor confort y además reduce costes también, ya que por ejemplo solo necesitaríamos dos imágenes de resonancia magnética, el resto podemos generarlas de forma sintética, por lo que el tiempo en el escáner se reduciría”.

El estudio forma parte de la tesis doctoral que está realizando Elisa Moya, ingeniera de Telecomunicaciones por la UVa, y en él ha colaborado también Rafael Navarro, ingeniero en Biomedicina por la Universidad Politécnica de Madrid, que realiza también su tesis doctoral en el Laboratorio de Procesado de Imagen de la ETS de Ingenieros de Telecomunicación de la UVa.