Castilla y León

Castilla y León

Región

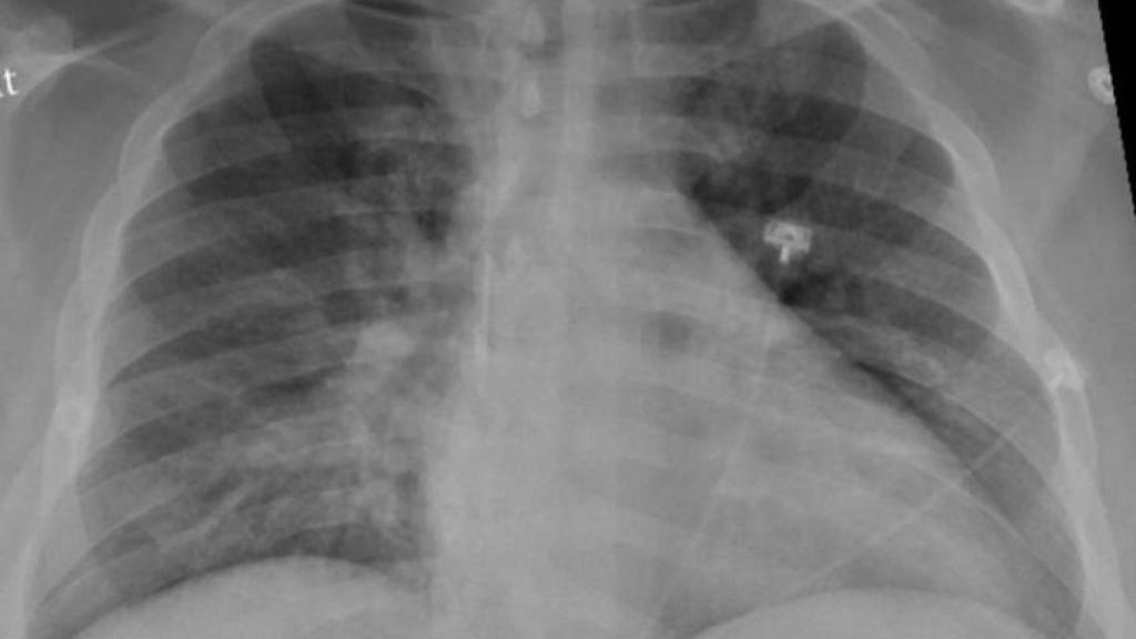
La mayoría de los pulmones se recuperan bien tres meses después del pasar el COVID-19 con gravedad

Publicada

El tejido pulmonar de pacientes que sufrieron el COVID-19 de forma grave muestra una buena recuperación en la mayoría de los casos. Así lo reveló un estudio realizado por el centro médico universitario de Radboud que ahora se ha publicado en la revista 'Clinical Infectious Diseases'.

Una conclusión llamativa de esta investigación es que el grupo que fue derivado por un médico de cabecera no se recuperó tan bien como los pacientes que ingresaron en la Unidad de Cuidados Intensivos (UCI) del hospital.

El estudio, dirigido por el neumólogo Bram van den Borst, incluyó a 124 pacientes que se habían recuperado de infecciones agudas por COVID-19. Visitaron la clínica de cuidados posteriores corona del centro médico de la universidad de Radboud, en Países Bajos. Los pacientes fueron examinados por tomografía computarizada y una prueba de función pulmonar, entre otros análisis.

Después de tres meses, los investigadores hicieron un balance, que reveló que el tejido pulmonar de los pacientes se estaba recuperando bien. El daño residual en el tejido pulmonar fue generalmente limitado y se observa con mayor frecuencia en pacientes que fueron tratados en la UCI.

Las quejas más comunes después de tres meses son fatiga, dificultad para respirar y dolores de pecho. Muchas personas también experimentan limitaciones en su vida diaria, así como una calidad de vida disminuida.

El investigador principal y neumólogo Bram van den Borst explica: "Los patrones que vemos en estos pacientes muestran similitudes con la recuperación después de una neumonía aguda o síndrome de dificultad respiratoria aguda (SDRA), en el que se acumula líquido en los pulmones durante mucho tiempo. Es alentador ver que los pulmones después de las infecciones por COVID-19 exhiben este nivel de recuperación", apostilla.

Los pacientes se dividieron en tres categorías para el estudio: un grupo con pacientes que ingresaron en la UCI, un grupo de pacientes que ingresaron en una sala de enfermería en el hospital y, finalmente, un grupo con pacientes que pudieron quedarse en casa pero experimentaron síntomas persistentes que finalmente justificaron una remisión de su médico de cabecera.

El estudio evaluó cómo les fue a los pacientes después de tres meses y reveló que los pacientes que fueron remitidos a la clínica de postratamiento por su médico de cabecera mostraron la peor recuperación en el período siguiente. Por supuesto, este último grupo de pacientes fue derivado debido a la persistencia de los síntomas.

"Sin embargo, parece que hay un subgrupo claro de pacientes que inicialmente experimentaron síntomas leves de COVID-19 y luego siguieron experimentando quejas y limitaciones persistentes a largo plazo --explica Bram van den Borst--. Lo sorprendente es que apenas encontramos anomalías en los pulmones de estos pacientes. Considerando la variedad y gravedad de las quejas y el tamaño plausible de este subgrupo, existe una necesidad urgente de realizar más investigaciones sobre las explicaciones y las opciones de tratamiento".

El centro médico de la universidad de Radboud estableció la clínica de cuidados posteriores corona en la ubicación de Dekkerswald como reacción a un aumento observado en las señales de que una cantidad sustancial de pacientes con COVID-19 experimentaban quejas a largo plazo, que iban desde tos, fatiga y dificultad para respirar hasta ansiedad y limitaciones físicas.