microscopio google realidad aumentada inteligencia artificial tumores

microscopio google realidad aumentada inteligencia artificial tumores

Tecnología

El microscopio de Google con Inteligencia Artificial que detecta cáncer

Google ha presentado una Inteligencia Artificial capaz de detectar tumores en tiempo real en microscopios modificados.

Publicada

Noticias relacionadas

Google Brain, la rama de investigación de Inteligencia Artificial de Google, ha desarrollado un microscopio con Realidad Aumentada capaz de detectar cáncer que ha sido entrenado mediante Aprendizaje Automático. No es la segunda vez que Google trabaja con cáncer; anteriormente, habían trabajado con una red neuronal capaz de detectar cáncer de mama con una tasa de precisión tan alta como la de un patólogo humano con experiencia, incluso siendo más eficiente que este.

El aparato, en realidad es un microscopio óptico como cualquier otro que podemos encontrar en cualquier hospital al que se la ha añadido una pantalla (para el uso de Realidad Aumentada) en la óptica. Google afirma que se puede adaptar a cualquier microscopio en general y que el precio es bastante bajo, por lo que las clínicas y hospitales no tengan que asumir grandes costes.

Google ha querido directamente entre una IA capaz de detectar tumores sobre tejido, el método más usados actualmente

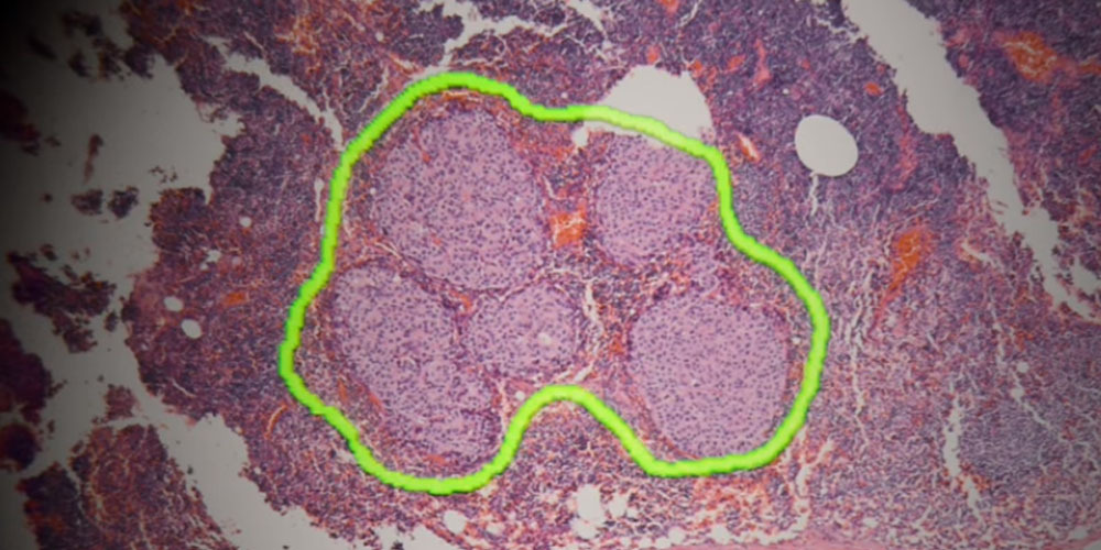
La Realidad Aumentada ayuda a los expertos a detectar y resaltar tumores, concretamente. Es decir, en vez de que el patólogo tenga que realizar una búsqueda activa de los tumores en a través del microscopio, recibirá una alerta de cada uno de los puntos donde la Inteligencia Artificial encuentre uno.

IA que señala tumores mediante Realidad Aumentada

microscopio realidad aumentada google inteligencia artificial tumores

microscopio realidad aumentada google inteligencia artificial tumores

De este modo, el patólogo tiene que dedicarse exclusivamente al análisis de esos tumores que el microscopio con Inteligencia Artificial señala mediante Realidad Aumentada a través de la pantalla superpuesta sobre la imagen analógica, como vemos en la imagen superior. La imagen se actualiza a una velocidad de 10 fotogramas por segundo, por lo que no se nota el retraso, permitiendo al patólogo escanear el tejido mientras la imagen se va actualizando.

descripcion microscopio optico de google apaz de detectar cancer inteligencia artificial realidad aumentada

descripcion microscopio optico de google apaz de detectar cancer inteligencia artificial realidad aumentada

El sistema no pretende sustituir al experto, sino complementarle y ayudarle en su tarea

El sistema, por lo tanto, combina la experiencia humana con el aprendizaje automático de las máquinas, una combinación mucho mejor, al menos por el momento, que si cayese toda la responsabilidad sobre la Inteligencia Artificial directamente.

Por el momento, este microscopio con Inteligencia Artificial ha sido entrenado para detectar dos tipos de cáncer: de próstata y de mama. No obstante, es capaz de ejecutar algoritmos destinados a la cuantificación, a la detección de objetos o a la clasificación.

microscopio realidad aumentada google inteligencia artificial muestras de tumores

microscopio realidad aumentada google inteligencia artificial muestras de tumores

Inicialmente se entrenó a la IA para detectar tumores en imágenes a través de un escáner de diapositivas, pero adaptarlo a un microscopio es relativamente sencillo, como Google ha hecho. El rendimiento, que Google asegura que es bastante bueno, podrá mejorarse en un futuro mediante la introducción adicional de imágenes durante el entrenamiento.