coma

coma

Tecnología

Científicos logran comunicarse con víctimas en coma

Publicada
Actualizada

Noticias relacionadas

El estado de coma es un limbo. Hay personas que consiguen salir de él, otras que pueden quedarse en este estado durante años y años sin mostrar un ápice de cambio, y otras que consiguen volver de este limbo. Muchas veces intentamos, “en vano”, comunicarnos con estos seres queridos pensando y deseando que nos puedan escuchar. Y puede que si nos escuchen, según recientes estudios.

Un grupo de científicos ha realizado una serie de experimentos, bastante controvertidos y polémicos (es muy difícil poner de acuerdo a la comunidad científica), donde destaca el neurocientífico Adrian Owen y su primer experimento en este campo, el cual describen en Nature de esta forma:

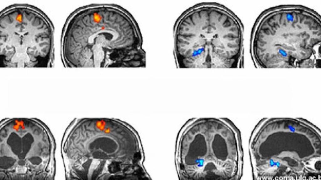
“El paciente tenía solo 24 años cuando su vida fue devastada por un accidente de tráfico. Estaba vivo, pero no respondía, su vida había estado languideciendo en lo que los neurólogos llaman un estado vegetativo desde hace 5 años hasta que Owen, neurocientífico de la Universidad de Cambridge (Reino Unido), y sus colegas de la Universidad de Lieja (Bélgica) puso a este paciente en un aparato de resonancia magnética funcional (fMRI) y comenzó a hacerle preguntas”

Increíblemente, el paciente le proporciono respuestas. Hubo un cambio en el flujo sanguíneo a ciertas partes del cerebro del hombre, un hecho que convenció al Dr. Owen de que el paciente estaba consciente y era capaz de comunicarse. Era la primera vez que alguien había intercambiado información con un paciente en estado vegetativo.

Esto que os he contado sucedió hace 2 años. Ahora, Owen y  su equipo de Cambridge, junto a otros científicos de la Universidad de Wester Ontario de London (Canadá) han conseguido varios progresos, arrojando algo de luz al trabajo actual:

Uno de los objetivos es la identificación de otros sistemas cerebrales, como el olfato o el gusto, que podrían estar intactos y utilizables para la comunicación. Imaginad chupar un limón, por ejemplo, donde se produce un cambio de pH en la boca y el cerebro da una señal reconocible. Owen ha demostrado que los chistes provocan una respuesta determinada en personas sanas, y entra en sus planes tratar utilizarlos para tratar a pacientes en estado vegetativo.

Los estudios también exploraran si los pacientes tienen un mayor nivel intelectual. Owen piensa que los pacientes serían capaces de expresar esperanzas y deseos, de la misma forma que el editor de la revista French, Jean-Dominique Bauby, quien dictó sus memorias en varias ocasiones guiñando un ojo.

Como dice Owen:

“No veo ninguna razón por la cual otros no podrían tener una riqueza de pensamiento similar, aunque, sin duda, algunos no”.

Como os he comentado al principio, parte de la comunidad científica se muestra muy escéptica respecto a los estudios de Owen. Se preguntan si sus primeros logros han sido casualidad, o si pueden haber esperanzas y ser optimistas para el futuro. Puede que en el futuro haya mucho éxito, y no podemos negar que nos alegraríamos si así fuera. Tendremos que esperar a ver como avanza el equipo del Dr. Owen y si algún día nos sorprende realmente con más pruebas y estudios contrastados para que podamos decir que si, lo han conseguido.

Vía: Gizmodo / Nature.