google maps cuerpo 2

google maps cuerpo 2

Software

El Google Maps del cuerpo humano

Científicos han desarrollado el Google Maps del cuerpo humano usando la tecnología de Google, lo que permitirá hacer más investigaciones.

Publicada
Actualizada

Noticias relacionadas

La tecnología de Google de mapas no sólo sirve para que no nos perdamos; también puede tener aplicaciones científicas, como demuestra este Google Maps del cuerpo humano.

Ha sido creado por científicos de la Universidad de Nueva Gales del Sur en colaboración con varias universidades estadounidenses y la propia Google, que ha prestado el código (uno de los mayores secretos que tiene) para el proyecto.

Gracias a eso se ha podido usar la misma tecnología que tiene Google Maps para crear mapas del cuerpo humano; en particular han empezado por terabytes de imágenes y datos, sólo de la zona de la cadera.

Este Google Maps del cuerpo humano funciona igual que el de la Tierra

google maps cuerpo 3

google maps cuerpo 3

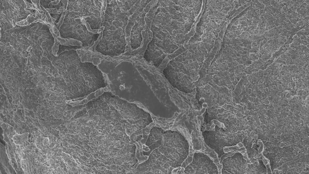
La app en si funciona exactamente igual que Google Maps, con la capacidad de ampliar poco a poco la imagen inicial del cuerpo, llegando a fotografías de microscopio electrónico con una escala de micrómetros; tiene sentido usar la tecnología de Maps, ya que hay muchas similitudes en la gran cantidad de datos e imágenes en alta resolución entre el planeta Tierra y el cuerpo humano.

google maps cuerpo 1

google maps cuerpo 1

La profesora Melissa Knothe Tate, líder del proyecto, asegura que esta tecnología permitirá a los científicos llegar desde una imagen de todo el cuerpo a células individuales, para así obtener una imagen más clara de cómo funcionan aspectos como la nutrición de las células, de cómo se mueven y cómo se afectan entre sí en el gran conjunto de las cosas, además de explorar la relación entre el sistema circulatorio, los huesos, el sistema linfático y los músculos.

De hecho Knothe Tate ya ha demostrado la relación entre la artrosis y el estado del transporte molecular entre la sangre, el músculo y el hueso, al menos en animales. Y sólo sería el principio, ya que los algoritmos de Google Maps permiten usar terabytes de información de manera rápida y sencilla para el científico.

La Universidad de Harvard, por ejemplo, planea usar la tecnología del Google Maps del cuerpo humano para entender las conexiones neuronales en el cerebro de ratones.