impresion-3d-vertebra

impresion-3d-vertebra

Omicrono

Consiguen el primer implante de vértebras impresas en 3D del mundo

Publicada

Noticias relacionadas

Otra maravilla de la impresión 3D aplicada en la medicina: han implantado vértebras impresas en un paciente por primera vez.

Esto se está convirtiendo en un habitual y pronto dejará de sorprendernos para convertirse en algo totalmente normal, pero mientras tanto seguiremos imaginando todo lo que podremos ser capaces de hacer en unos años gracias a la revolución de la impresión 3D.

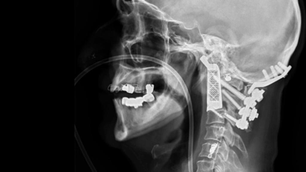
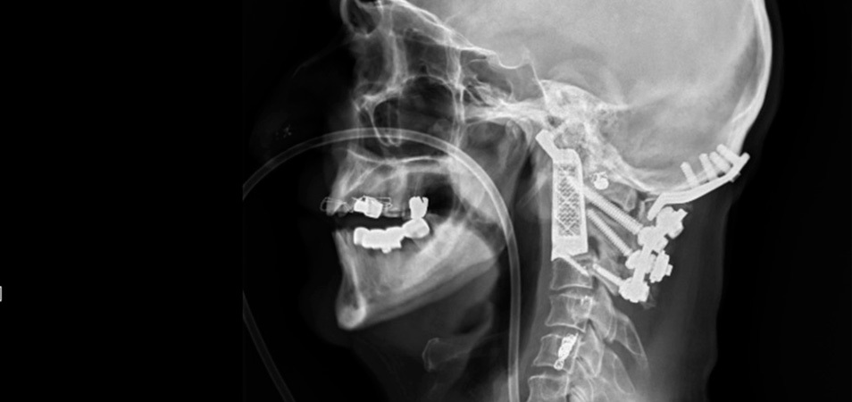
Las impresoras 3D, en manos de profesionales, dan lugar a cosas como esta: producir e implantar vertebras con total seguridad, evitando que el paciente quede tetrapléjico.

Vértebras impresas en 3D

Eso es lo que ha ocurrido en Sídney, Australia, donde el neurocirujano Ralph Mobbs ha utilizado la impresión 3D para eliminar un tumor en la base del cráneo de un paciente de 60 años y sustituir las dos vértebras a las que había afectado, de otro modo el avance del cáncer le habría dejado sin movilidad.

impresion-3d-vertebra

impresion-3d-vertebra

No es la primera vez que se reconstruyen vértebras utilizando hueso del paciente, pero Mobbs decidió innovar y probar con la impresión 3D para lograr un mejor resultado.

Trabajó en conjunto con la empresa Anatomics, que no sólo se encargaron de imprimir en titanio el implante de las vértebras, sino que también crearon por impresión 3D varios modelos de la anatomía de la zona exactamente como la del paciente. ¿Para qué? de esta forma el neurocirujano podría ensayar la operación.

Impresión 3D para crear moldes y ensayar las operaciones de riesgo

Esto nos suena, ya que anteriormente había visto cómo los cirujanos utilizaban moldes de corazones personalizados e incluso de malformaciones cerebrales para simular las operaciones y minimizar los riesgos de este tipo de intervenciones delicadas.

impresion-3d-vertebra-3

impresion-3d-vertebra-3

Pese a las facilidades, la operación duró más de 15 horas pero todo ha salido bien y el paciente ya se está recuperando. Este neurocirujano, al igual que otros profesionales del sector, tiene grandes expectativas en la impresión 3D, principalmente cuando se consiga mejorar la impresión de tejidos orgánicos, de modo que no se utilicen materiales como titanio, sino imprimir órganos utilizando las propias células del paciente.

No hace falta que soñemos con ello, ya se está llevando a cabo, no hay más que ver esta bioimpresora 3D capaz de crear estructuras de hueso, cartílago y músculos.