Célula

Célula

Tecnología

Descubren una célula eucariota sin mitocondrias por primera vez en la Historia

Investigadores logran identificar una célula eucariota sin mitocondrias.

Publicada
Actualizada

Desde siempre, hemos contemplado la mitocondria cómo una de las partes indispensables de la célula eucariota, pero hoy puede que cambiemos por completo esta concepción.

Las mitocondrias son orgánulos celulares esenciales para la vida de la célula, pues se consideran las grandes centrales de energía. El ATP (adenosintrifosfato) es sintetizado por la mitocondria, y se empleará en infinidad de procesos celulares.

Son unos orgánulos llenos de misterio, jugando un rol en la teoría endosimbiótica sobre el origen de la vida en el universo, poseyendo su propio material genético parecido al de las bacterias, y actualmente demostrando un comportamiento cuanto menos curioso al sufrir la autofagia.

Los libros de texto en los que claramente definen la mitocondria cómo un orgánulo presente en todas las células eucariotas pueden que necesiten una nueva revisión, pues un grupo de investigadores del Charles University en Praga y BIOCEV, junto con un equipo de la República Checa y Canadá, han secuenciado el genoma de unas células que se las han arreglado para vivir sin mitocondrias.

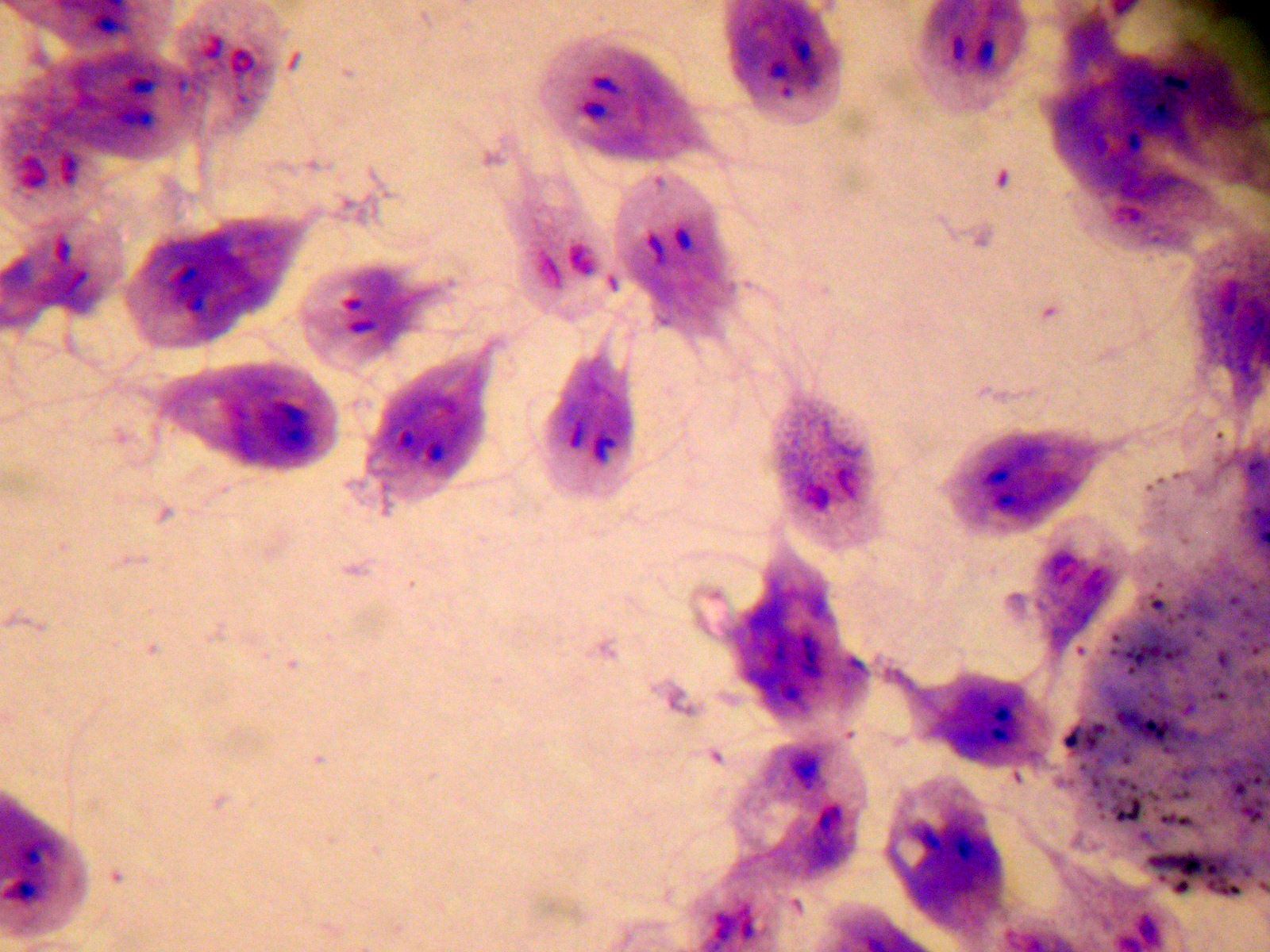
Monocercomonoides, los organismos que cambiarán nuestros conceptos sobre la respiración celular

Monocercomoides

Monocercomoides

Cuándo las circunstancias son adversas, la vida se adapta al nuevo ambiente con el metabolismos y la fisiología adecuada. En ambientes en los que el oxígeno es escaso, los eucariotas suelen poseer una forma alternativa y reducida de la mitocondria, manteniendo las funciones esenciales para la vida. Lo que sorprendió a Anna Karnkowska, de la Universidad de Praga,  fue la caracterización de un microbio eucariota carente de orgánulo mitocondrial.

Así entraron en escena unos organismos que ya conocíamos desde hace más de 80 años pues están relacionados con diferentes enfermedades en humano, cómo la Giardia y los Trichomonas, protozoos flagelados que viven exclusivamente en ambientes con bajas concentraciones de oxígeno.

En el estudio publicado en Current Biology y tiene cómo base la secuenciación del genoma de los monocercomonoides, con la sorpresa de no encontrar información para codificar las proteínas mitocondriales.

¿Cómo viven estos protozoos? La ausencia de mitocondrias la compensan con un complejo citosólico de movilización de sulfuro, que obtuvieron de las bacterias y que sustituye el papel de la mitocondria.

Los investigadores han buscado organismos carentes de mitocondria durante décadas

mitocondria (2)

mitocondria (2)

Este descubrimiento no sólo nos demuestra que puede existir una célula eucariota sin mitocondrias, sino que además nos deja un paso más cerca de comprender cómo la evolución en estas formas de vida ha llevado a adaptar un mecanismo bacteriano a la célula eucariota sustituyendo una función propia y condicionada por el ambiente.

Aun queda caracterizar con profundidad estos microorganismos, comprender cuándo perdieron las mitocondrias y cómo han conseguido adueñarse del mecanismo que permitiría a muchas bacterias vivir en ambientes carentes de oxígeno.