fetusinfetus

fetusinfetus

Tecnología

"Fetus in fetu" o bebés que nacen embarazados

Publicada

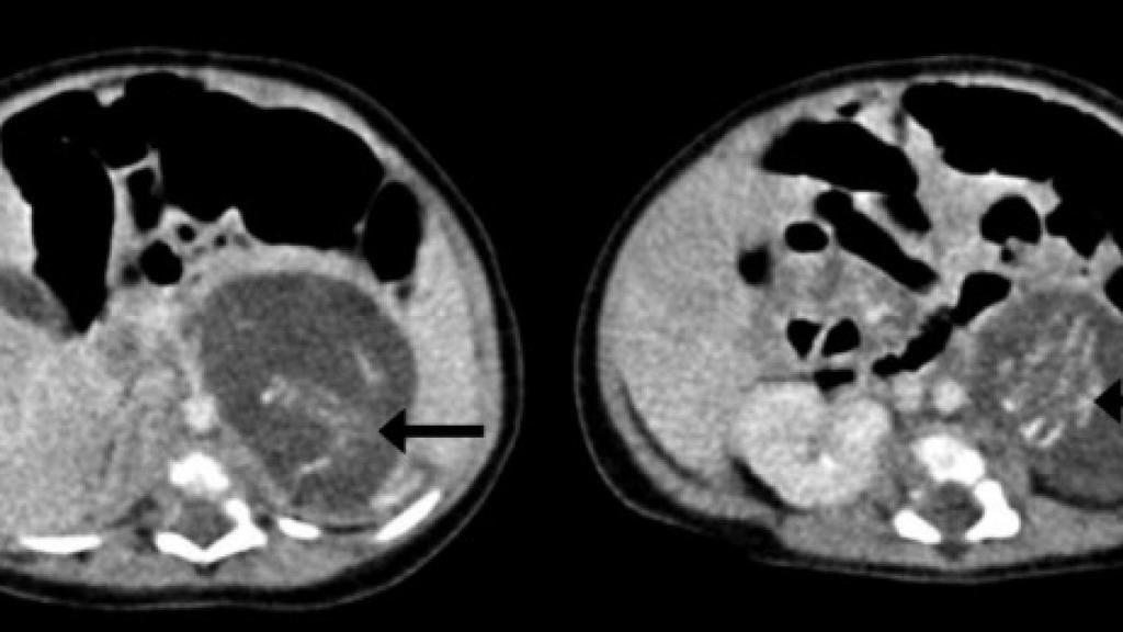
En 2010, en un hospital de Hong Kong ocurrió algo que sólo se da en uno de cada 500.000 nacimientos: una menor nació con dos masas anómalas en el estómago. Años después, en un informe presentado en la revista Honk Kong Medical Journal por el doctor Yu Kai-man, del Hospital Queen Elizabeth de Hong Kong, se ha concluido que estas dos masas eran dos fetos gemelos con un peso de 14,2 gramos y 9,3 gramos, respectivamente.

Lo que le ocurrió a esta niña bebé es lo que en términos médicos se conoce como fetus in fetu. Consiste en la aparición de fetos no desarrollados en forma de tumor en alguna parte de la anatomía de un recién nacido. Suele producirse por un fallo en la formación del cigoto antes de la formación del embrión, lo que conlleva que rara vez tenga órganos internos funcionales. El 80% de las veces los fetos se encuentram en la región abdominal, pero también pueden encontrarse en el cráneo, zona sacra, escroto, etc.

En el caso aparecido en China, los fetos tenían formadas las piernas, los brazos, la columna y parte de los intestinos. Ambos estaban unidos por el cordón umbilical al abdomen de la menor. Como indica el experto que ha realizado el diagnóstico en el diario Mirror, en realidad los gemelos son de los padres pero el proceso de fertilización ocurrió por el lado equivocado.

A juzgar por las partes del cuerpo que encontraron en la niña, los médicos han determinado que los gemelos absorbidos podrían tener hasta 10 semanas de gestación antes de que su crecimiento se detuviera y fueran absorbidos. Pero el mecanismo de esta “absorción” no se ha dilucidado, por lo que también es posible que los fetos adicionales hubieran sido absorbidos anteriormente a la nueva gestación.

Un intruso en casa

Como es lógico, los fetos le fueron extirpados a la bebé y ésta fue dada de alta 8 días después. Estos fetos, cuando son extraídos y expuestos, tienen un color blanco. Una vez que se extraen, mueren, ya que es un tejido totalmente dependiente de su hospedador. Es tejido humano, pero no se le puede considerar un ser humano. Por todo esto, se dice que es un caso raro de gemelos siameses.

La mayoría de estos casos suele diagnosticarse en la infancia, pero se han comunicado casos en adultos. De hecho, hubo un caso de 47 años.

Casos muy infrecuentes

Los casos de fetus in fetu son muy extraordinarios, y sólo se conocen unos 200 en todo el mundo. El primer caso formal se presentó en 2007, de modo que no es algo que haga mucho tiempo que se conozca. Claro está, cuando aparecen casos parecidos, se publican en los medios, y no dejan de ser noticias un tanto sombrías, por infrecuentes y extrañas a la vez. Os mostramos un ejemplo de noticia publicada en el 2012 en El Mundo.

Uno de los casos más raros y sorprendentes es la historia de un niño que llevó el feto en su interior hasta los 7 años. Generalmente estos casos se diagnostican los primeros años de vida o incluso durante el embarazo, pero como son muy raros también pueden pasar desapercibidos hasta que el feto atrofiado crece. El diagnóstico de esta condición es, de hecho, complicado. En el informe presentado por Yu Kai-man, indica que de los 88 casos presentados de forma colectiva en uno de los estudios más importantes que se han realizado sobre este tema, tan sólo 9 pudieron detectarse de forma prenatal.

Los investigadores esperan poder dar un poco de luz al misterio que trae consigo este raro e infrecuente proceso. Se cree que podría estar relacionado con múltiples abortos de la madre, pero se requiere mucha más evidencia científica que lo corrobore.

Lo cierto es que mientras los factores que promueven esta anomalía no se descubran de forma sólida, la Organización Mundial de la Salud ha clasificado esta condición como una variante del teratoma maduro, un tipo de cáncer habitualmente benigno. Se considera una enfermedad rara.

Vía | Gonzoo

Fuentes | Revista cubana de obstetricia y ginecología, Honk Kong Medical Journal