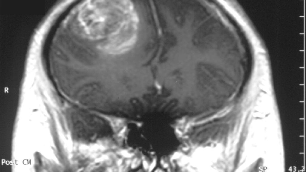
Glioblastoma_-_MR_coronal_with_contrast

Glioblastoma_-_MR_coronal_with_contrast

Tecnología

La caña de pescar para los tumores cerebrales

Publicada

Si os pregunto qué relación existe entre acabar con tumores cerebrales y pescar probablemente me diréis que mínima por no decir inexistente, pero puede que estéis equivocados al realizar tal afirmación cuando conozcáis la noticia que ocupa estas líneas hoy.

El glioblastoma o GBM es uno de los tumores cerebrales más comunes en adultos, y también uno de los más agresivos: es prácticamente letal y muy dificil de operar por su gran tamaño y porque se suele desarrollar en localizaciones inaccesibles. Pero esto podría cambiar con la llegada de una técnica que desviaría el desarrollo del GBM para terminar siendo eliminado gracias a nanofibras de polímero.

En una situación “normal” , el glioblastoma se desplaza por los vasos sanguíneos y nervios que transcurren en el cerebro. Al estar en una área inaccesible tenemos que descartar la operación, pero un equipo de científicos de Atlanta ha conseguido idear una especie de caña de pescar, formada con nanofibras de polímero, de 6 milímetros de largo y que tiene al principio una película de 10 micrómetros con una forma que intenta mimetizarse con la forma de los nervios y vasos sanguíneos, lo cual elimina la necesidad de utilizar químicos o proteínas extra.

Al tener una forma similar a la que se cree que le gustan a las células responsables del GBM, confunde esta película con una vena o un nervio real y asciende. Al final de la tira se encuentra una burbuja de gel que contiene un medicamento que acaba con ella: de esta forma el problema se mueve a la solución y se evita tocar zonas sanas. Además, al tratarse de un hilo tan fino se descarta el riesgo de que cause trastorno alguno en un cerebro humano.

La técnica ya se ha probado en ratones en los que se introdujo el GBM humano. 15 días después, un 90% del tumor había sido eliminado debido a que básicamente habían desplazado el tumor. La técnica no libera completamente al paciente del glioblastoma, pero es capaz de eliminar la mayor parte de el y deja abierta la puerta para dos posibilidades en humanos: reducirlo hasta que sea inofensivo, o desplazar el tumor hasta una zona en la que una operación sea viable.

Fuente | NewScientist