ojo-bionico-1

ojo-bionico-1

Tecnología

El primer ojo biónico acaba de ser implantado a un paciente

Publicada

La ciencia avanza a pasos gigantescos, eso lo sabemos todos, pero esto ya sobrepasa los límites de lo concebible. Hoy en día, no es de extrañar encontrarnos con prótesis robóticas. Existen brazos o piernas robóticas que facilitan la vida diaria de muchas personas y eso es una gran noticia. Pero hoy hablaremos de una prótesis creada recientemente, un ojo biónico.

Argus II, la retina artificial para personas con ceguera

Second Sight Medical Products de California desarrolló con éxito un ojo biónico capaz de hacer parte del trabajo de un ojo normal y devolver la vista a personas con ceguera total o parcial a causa de la retinosis pigmentaria.

Este proyecto llamado Argus II Retinal Prothesys System , está formado por una carcasa ocular con un receptor que irá colocada alrededor del ojo. Y por otro lado, una gafas con cámara y transmisor que capturarán la luz como lo hacen nuestros ojos. Este experimento ya fue aprobado el año pasado en Europa y Estados Unidos y ya se ha implantado en algunos pacientes. Dando unos resultados fantásticos, donde 60 personas han recuperado parcialmente la vista. Una noticia fantástica.

Los profesores de oftalmología y ciencias de la visión, Thiran Jayasundera y David N. Zacks, del centro óptico de la Universidad de Kellogg han sido unos de los primeros científicos en implantar esta prótesis a pacientes.

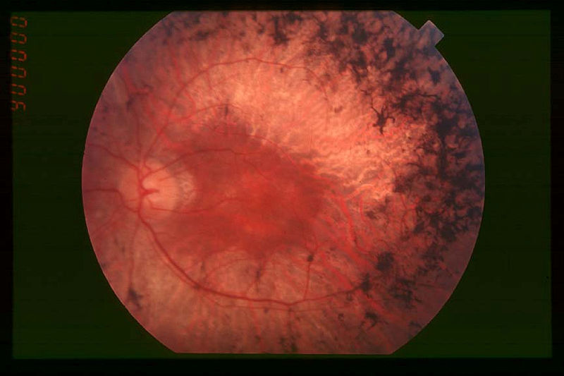
¿Qué es la retinosis pigmentaria?

retinosis-pigmentaria-1

retinosis-pigmentaria-1

Para los que desconozcáis qué es la retinosis pigmentaria, se trata de una enfermedad ocular degenerativa de carácter crónico. Lo que provoca esta enfermedad es la perdida de visión a lo largo del tiempo porque obstaculiza el trabajo de la retina, que es la de mandar la información de lo que vemos al cerebro.

Los rasgos de esta enfermedad es que a medida que avanza el tiempo, perdemos la agudeza visual tanto en la visión nocturna como periférica. Sin embargo, podemos percibir objetos, es decir, lo que miremos, lo veremos bien. Pero aún así, en etapas avanzadas de la enfermedad, podríamos ver afectada nuestra visión en general.

Así funciona el Argus II

bionic-eye-1

bionic-eye-1

Para empezar tendríamos que pasar por quirófano, donde se acoplaría una carcasa alrededor del ojo del paciente. Esta carcasa dispone de un receptor de señales y de un transmisor nervioso que irá en contacto con el nervio óptico. Este transmisor llevará incorporado 60 electrodos capaz de procesar las señales recibidas para adaptarlas a impulsos nerviosos.

Una vez se haya pasado por la operación, tendremos que recurrir a una gafas “especiales” conectadas a un procesador de vídeo que se llevará en el cinturón. Lo que tiene de “especial” las gafas son una mini cámara y un transmisor que enviará de forma inalámbrica las señales procesadas al receptor del ojo. Es decir, la cámara toma imágenes, el dispositivo del cinturón procesa la imagen, se envía al transmisor de las gafas las señales de la imagen procesada, el receptor ocular recibe la información y se manda mediante impulsos nerviosos la información al cerebro.

A continuación os dejamos un vídeo que os dejará más claro el funcionamiento de esta prótesis ocular.

Según palabras del profesor Jayasundera, nos cuenta que tras unos meses de entrenamiento, entre 1 y 3 meses, el paciente podría llegar a recibir correctamente la información en el cerebro y adaptarse así a la nueva visión.

Aclarar que esta prótesis no devuelve completamente la vista del paciente sino que manda imágenes abstractas y luces para mejorar su vista tanto de noche como periférica. Aún así, Jayasundera afirma que este es el camino correcto a seguir para llegar a conseguir una cura total para la ceguera. ¿Llegarán los científicos a encontrar una forma de devolver la vista a personas ciegas?

Fuente | UberGizmo Michigan Daily